Oligodendroglioma, Low-Grade
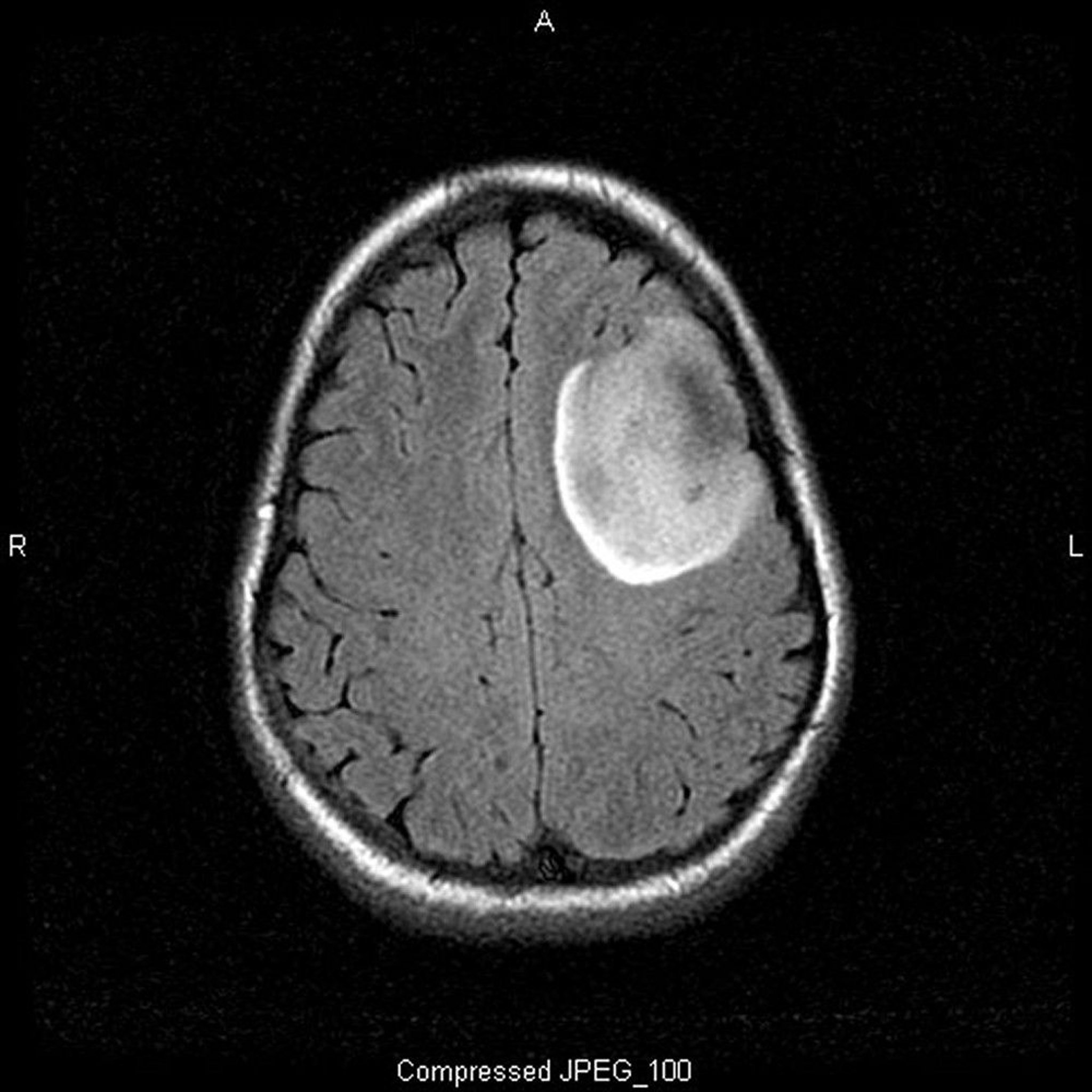
This T2-FLAIR (fluid-attenuating inversion recovery) MRI scan shows a white signal, which may indicate a mass or edema. The left frontal signal is highly demarcated, suggesting a mass. Use of contrast does not enhance it. It is a low-grade (grade II) oligodendroglioma.
Image courtesy of William R. Shapiro, MD.
In these topics
