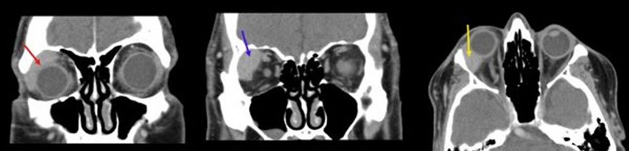
Orbital Lymphoma
In this image, the first coronal CT scan (left) shows a homogeneous mass conforming to the globe (red arrow). The second coronal CT scan (center) shows a well-demarcated mass in the right lacrimal gland fossa (blue arrow). The axial CT scan (right) shows a homogenous lacrimal fossa mass conforming to the right globe (yellow arrow).
Images courtesy of James Garrity, MD.
In these topics
