Osteoporotic Compression Fracture
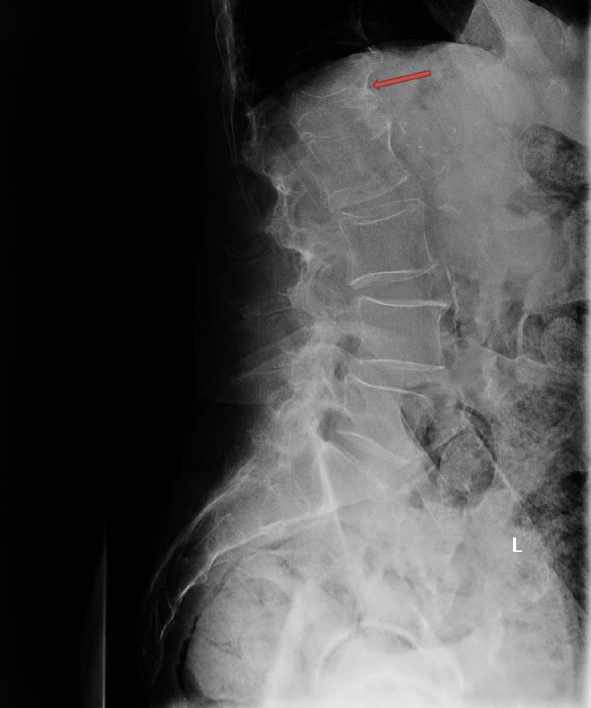
This radiograph shows a severe osteoporotic compression fracture of the first lumbar vertebra (L1; arrow).
Photo courtesy of Marcy B. Bolster, MD.
In these topics
This radiograph shows a severe osteoporotic compression fracture of the first lumbar vertebra (L1; arrow).
Photo courtesy of Marcy B. Bolster, MD.