Pneumoconiosis
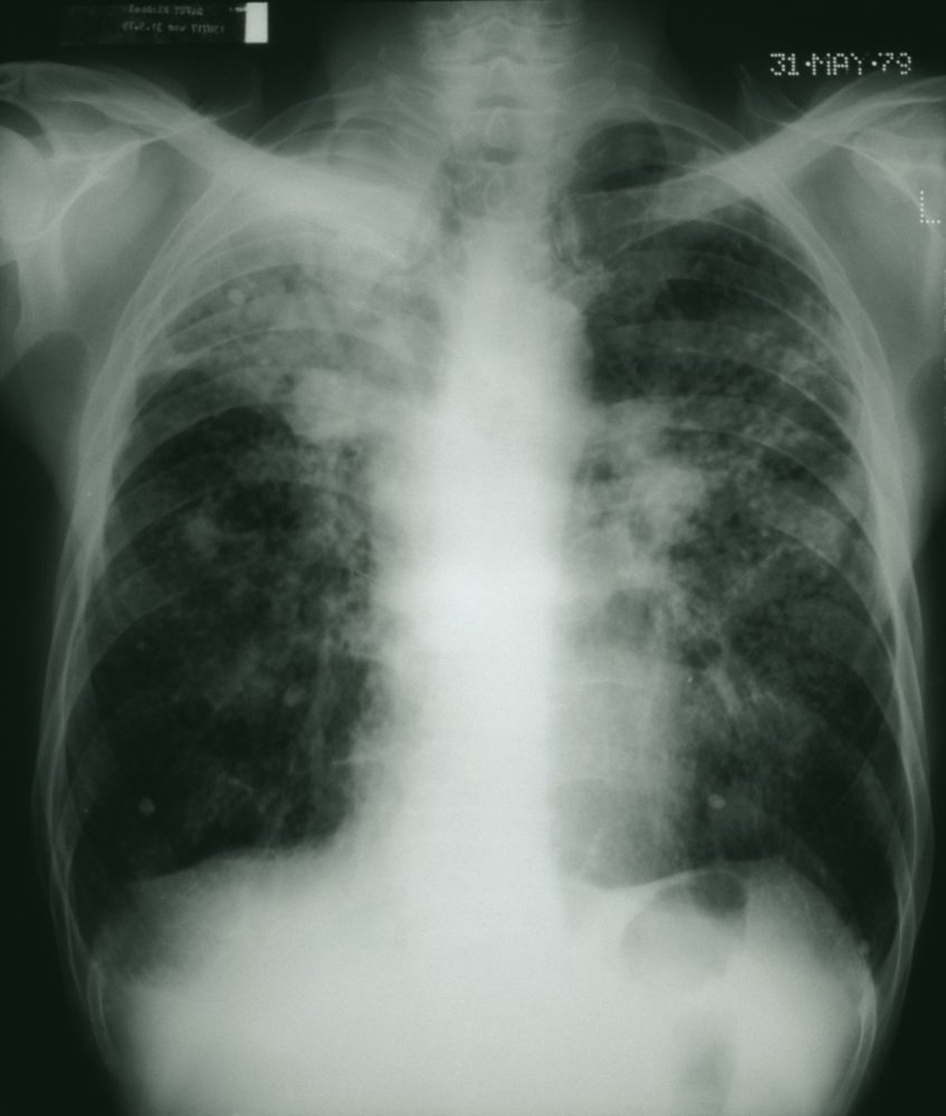
The dark lung fields show a mottled appearance with patches of white fibrous masses consistent with advanced coal worker pneumoconiosis.
STEVE ALLEN/SCIENCE PHOTO LIBRARY
In these topics
The dark lung fields show a mottled appearance with patches of white fibrous masses consistent with advanced coal worker pneumoconiosis.
STEVE ALLEN/SCIENCE PHOTO LIBRARY