Pneumocystis Pneumonia
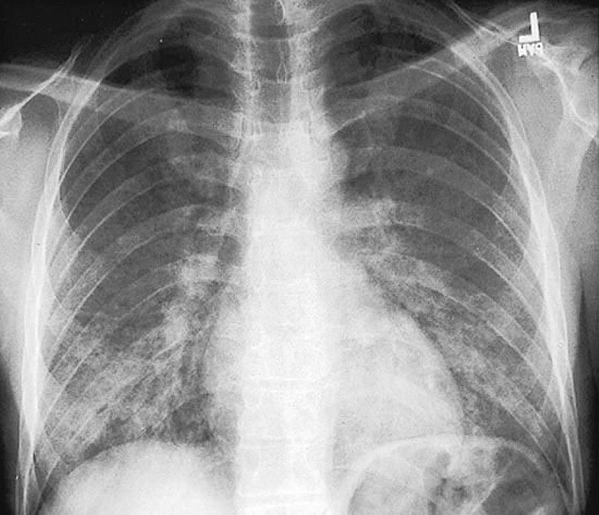
Chest x-ray of an HIV-infected patient with Pneumocystispneumonia, revealing characteristic bilateral, diffuse, granular opacities.
By permission of the publisher. From Huang L, Piliero P. In Bone's Atlas of Pulmonary and Critical Care Medicine. Edited by J Crapo. Philadelphia, Current Medicine, 2005.
In these topics
