Primary Lung Cancer
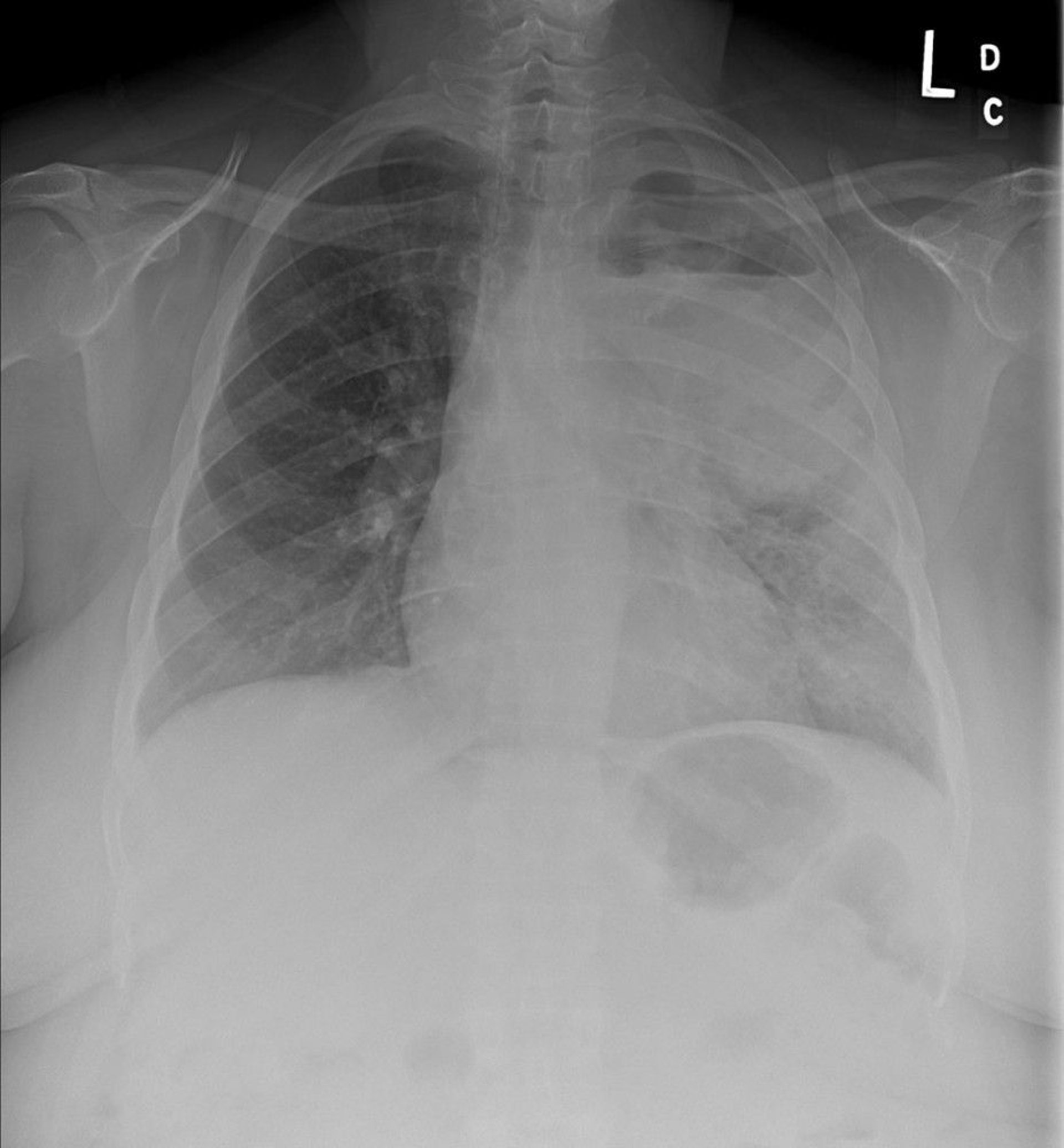
Chest radiography shows a left upper lobe non–small cell lung cancer with mediastinal and left hilar adenopathy. The primary tumor is cavitated and an air-fluid level is present.
Image courtesy of Anne S. Tsao, MD.
In these topics
