Pulmonary Alveolar Proteinosis (CT Scan)
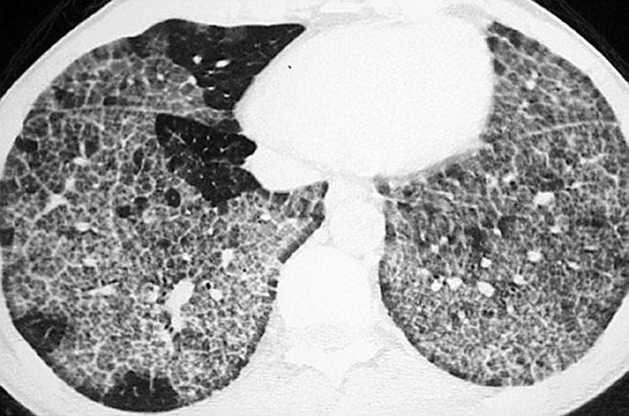
High-resolution CT shows ground-glass opacification and thickened intralobular structures and septa in polygonal shapes ("crazy-paving").
Image courtesy of Talmadge E. King, MD.
In these topics
High-resolution CT shows ground-glass opacification and thickened intralobular structures and septa in polygonal shapes ("crazy-paving").
Image courtesy of Talmadge E. King, MD.