Radiograph of a Child With Croup (Sagittal View)
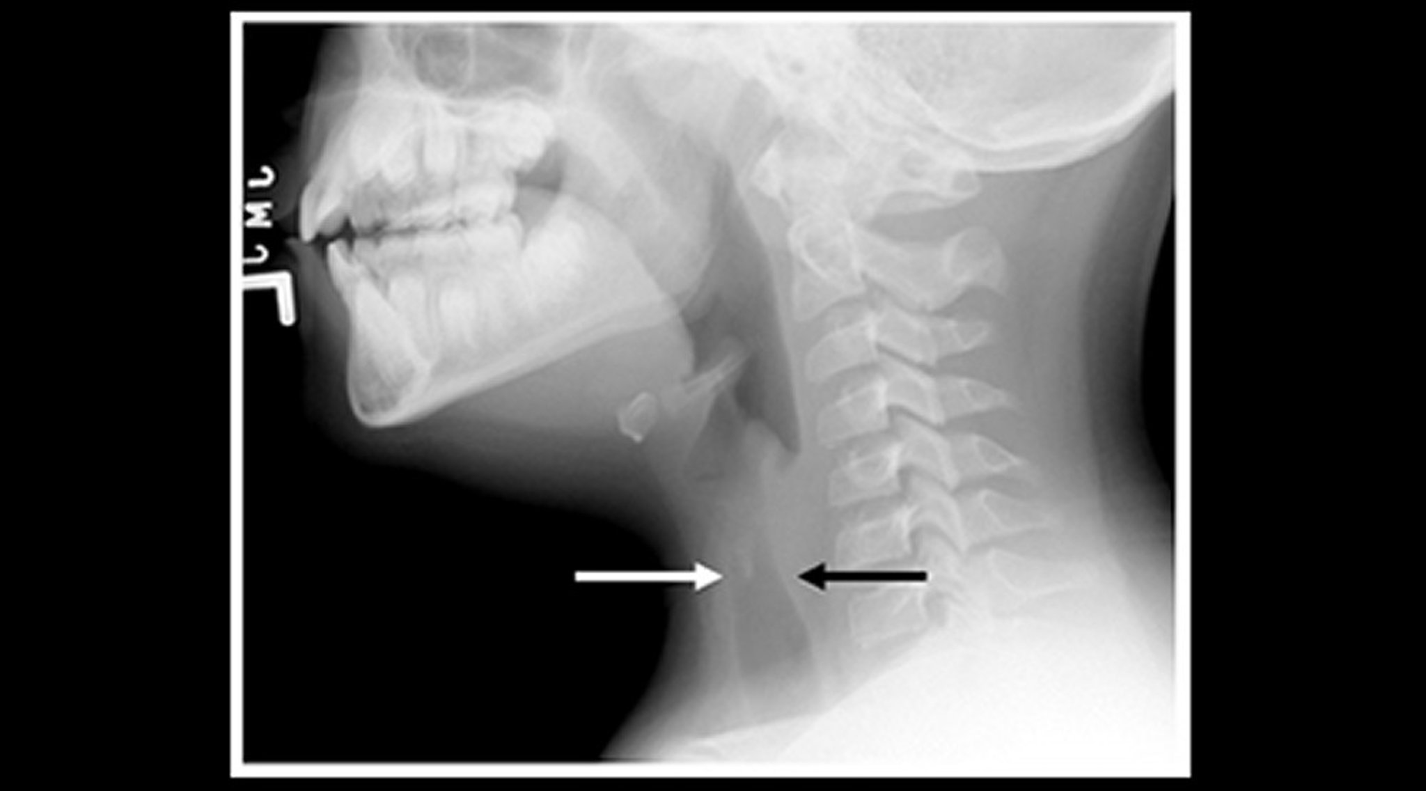
Soft-tissue neck radiograph of a child with croup shows narrowing of the subglottic tracheal air shadow (arrows) and dilation of the pharyngeal air spaces.
Image courtesy of John McBride, MD.
In these topics
