Sinusitis
Opacification of the right (on viewer's left) ethmoid and sphenoid sinuses.
LIVING ART ENTERPRISES, LLC/SCIENCE PHOTO LIBRARY
In these topics
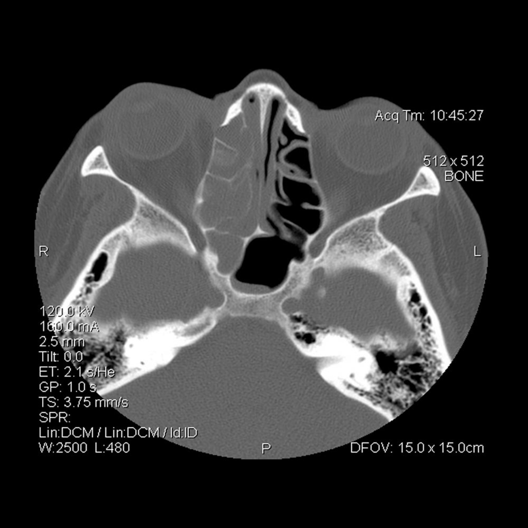
Opacification of the right (on viewer's left) ethmoid and sphenoid sinuses.
LIVING ART ENTERPRISES, LLC/SCIENCE PHOTO LIBRARY