Subdural Hematoma
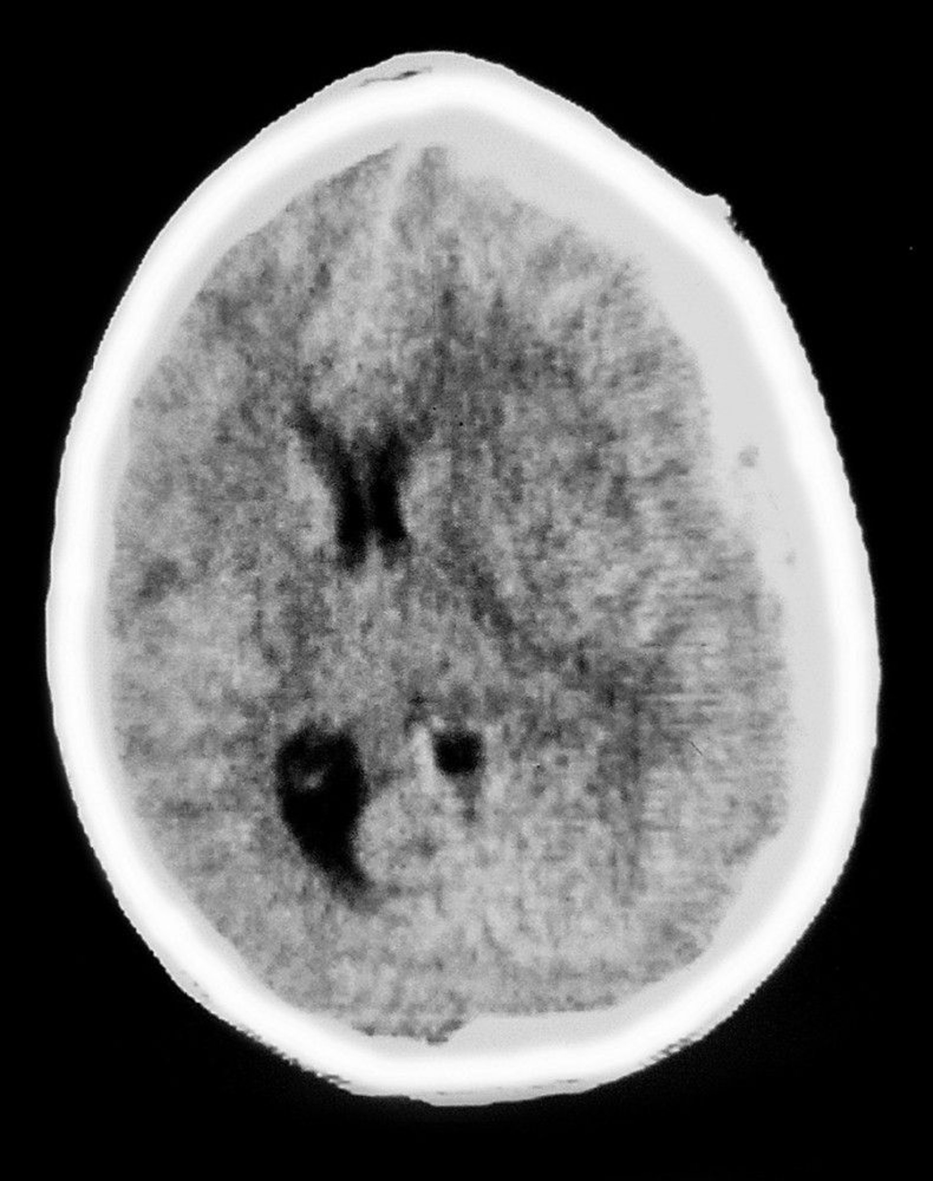
This CT scan shows a crescent-shaped opacity overlying brain tissue, characteristic of a subdural hematoma. There is also mass effect, with ventricular compression and midline shift.
Cavallini James/BSIP/SCIENCE PHOTO LIBRARY
In these topics
