Tension Pneumothorax
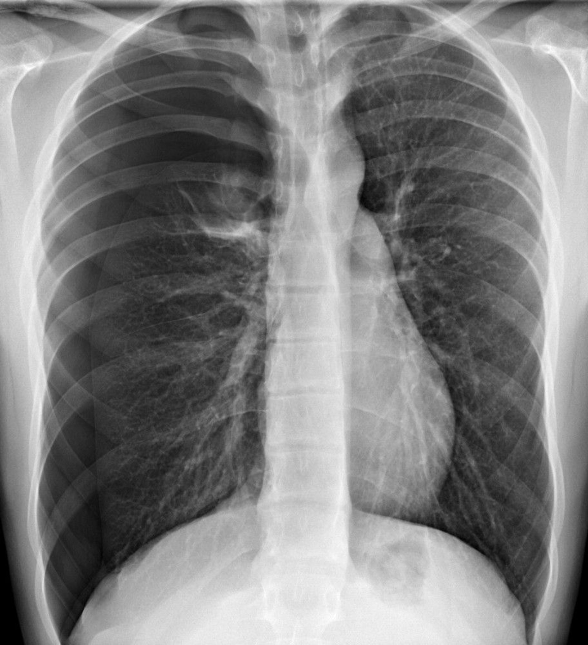
In this image, a pneumothorax is visible in the right hemithorax, where, in the periphery, there are no lung markings. A shift of the heart and mediastinum toward the left side can cause tension pneumothorax physiology. Tension pneumothorax, however, should be diagnosed clinically and not await radiographic confirmation.
DU CANE MEDICAL IMAGING LTD/SCIENCE PHOTO LIBRARY
In these topics
