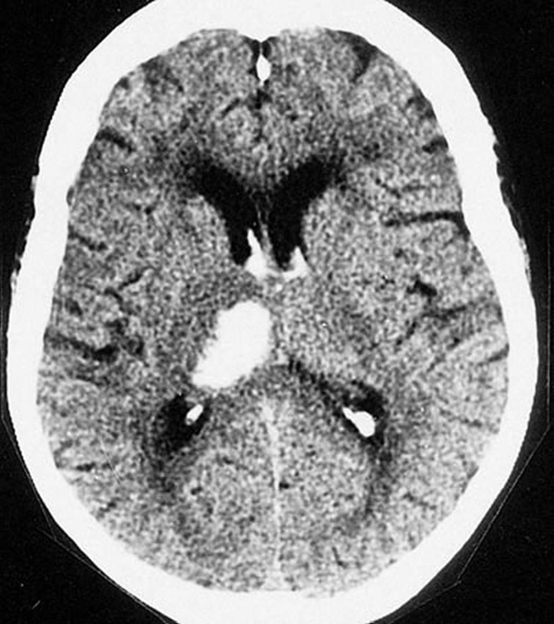
Thalamic Intracerebral Hemorrhage
This CT scan shows a hemorrhage in the thalamus. Intracerebral hemorrhages commonly occur in the thalamus and within the basal ganglia.
By permission of the publisher. From Furie K, et al. In Atlas of Clinical Neurology. Edited by RN Rosenberg. Philadelphia, Current Medicine, 2002.
In these topics
