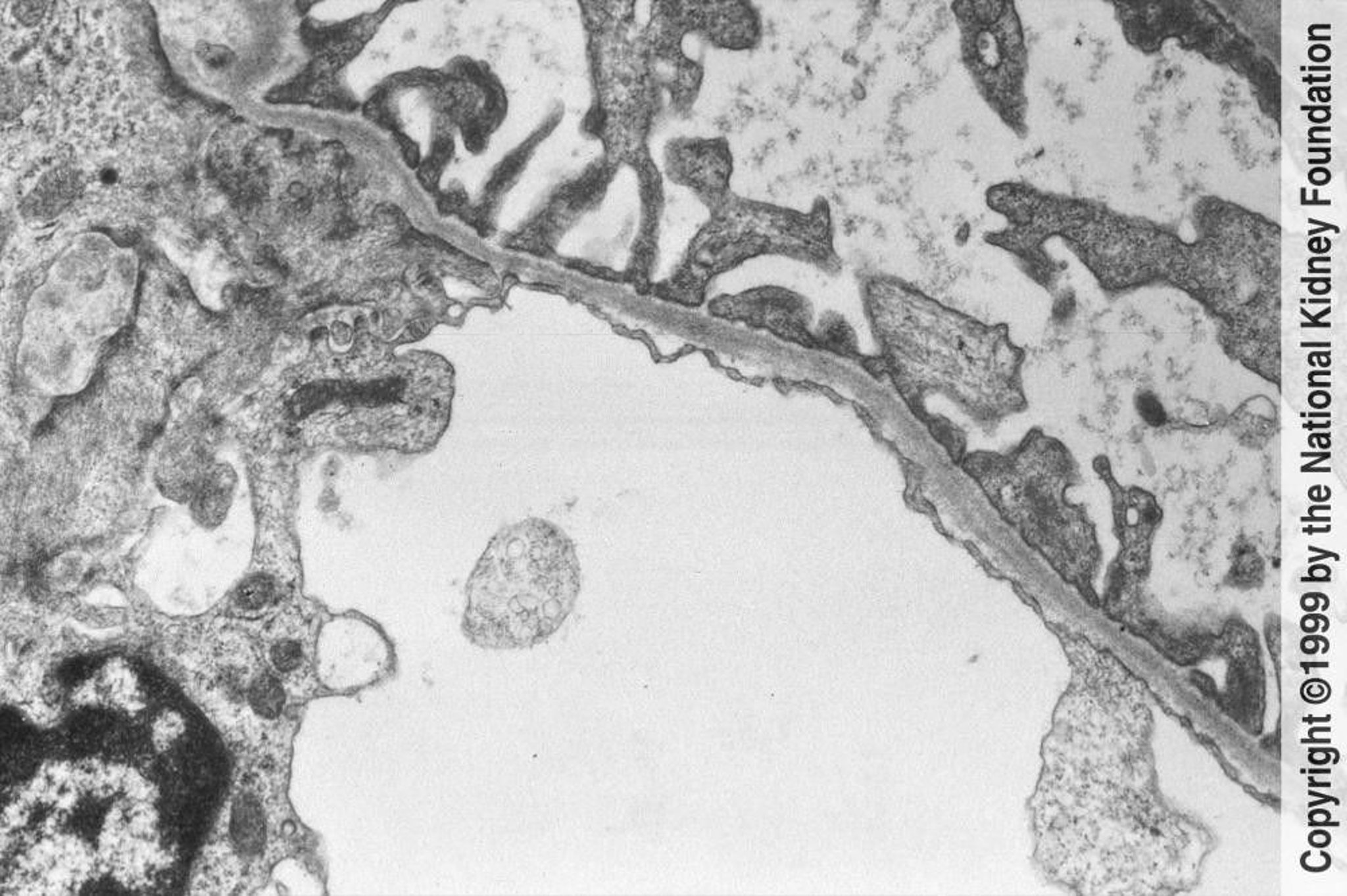
Thin Basement Membrane Lesion
Diffuse attenuation of the glomerular basement membrane (thickness < 250 nm) is seen on transmission electron microscopy (×3000).
Image provided by Agnes Fogo, MD, and the American Journal of Kidney Diseases' Atlas of Renal Pathology (see www.ajkd.org).
In these topics
