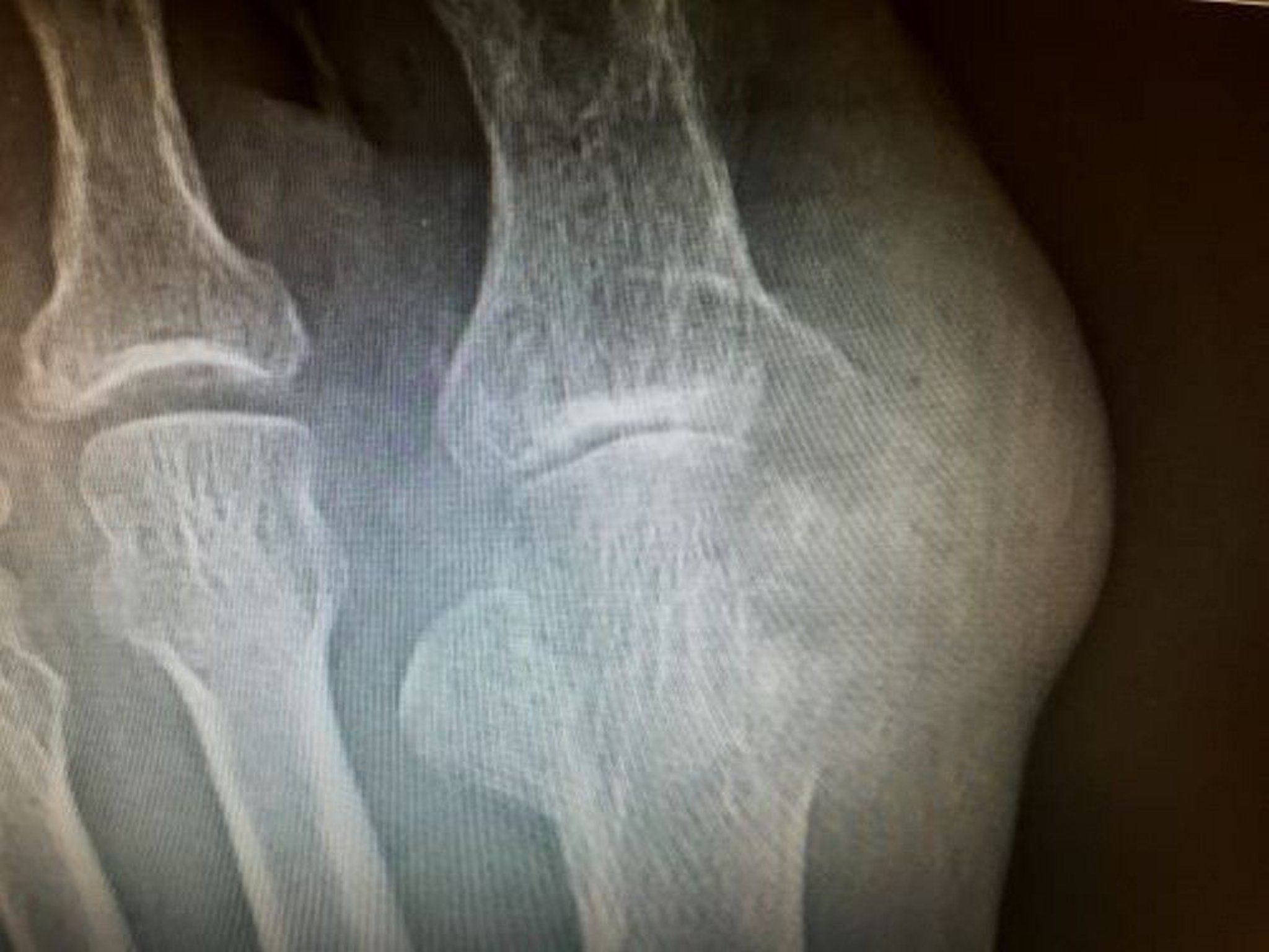
Tophus with Erosion
This photo shows large erosions caused by tophi involving the distal metatarsal and proximal phalanx of the great toe.
Image courtesy of N. Lawrence Edwards, MD.
In these topics
This photo shows large erosions caused by tophi involving the distal metatarsal and proximal phalanx of the great toe.
Image courtesy of N. Lawrence Edwards, MD.