Tuberculosis (Chest X-Ray)

Tuberculosis (Chest X-Ray)

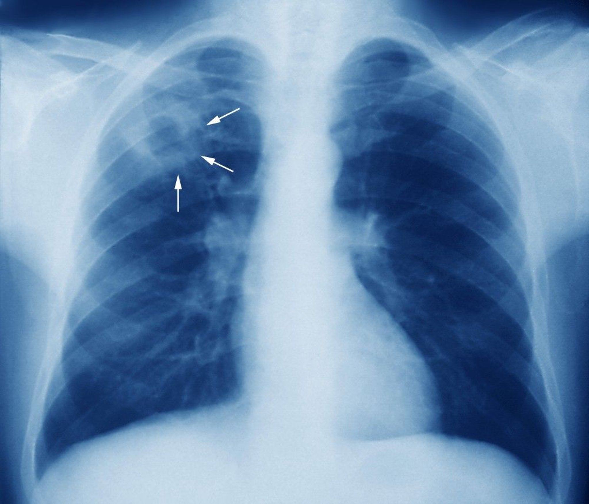
A right upper lobe cavitary lesion on a chest x-ray of a patient with tuberculosis.

ZEPHYR/SCIENCE PHOTO LIBRARY

In these topics