Chemical Pneumonitis Caused by Hydrocarbon Inhalation
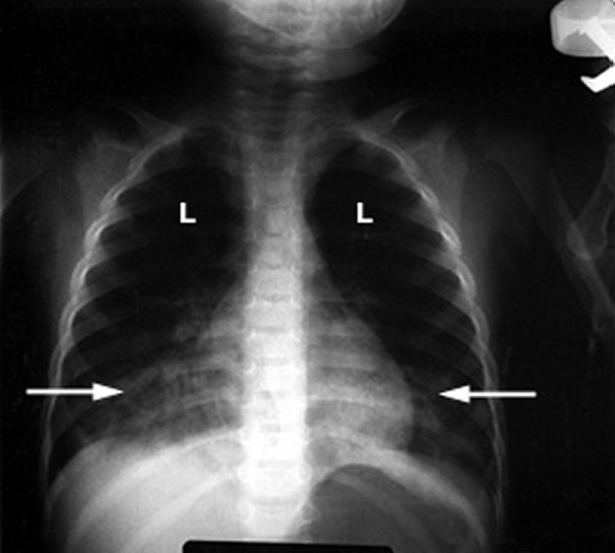
An abnormal chest x-ray in an infant shows white fluffy infiltrates (arrows) in the lungs (L), indicating inflammation. This finding is typical of lung damage due to hydrocarbon poisoning.
Courtesy of G. Schmidt, MD.
In these topics
