Heel Spur
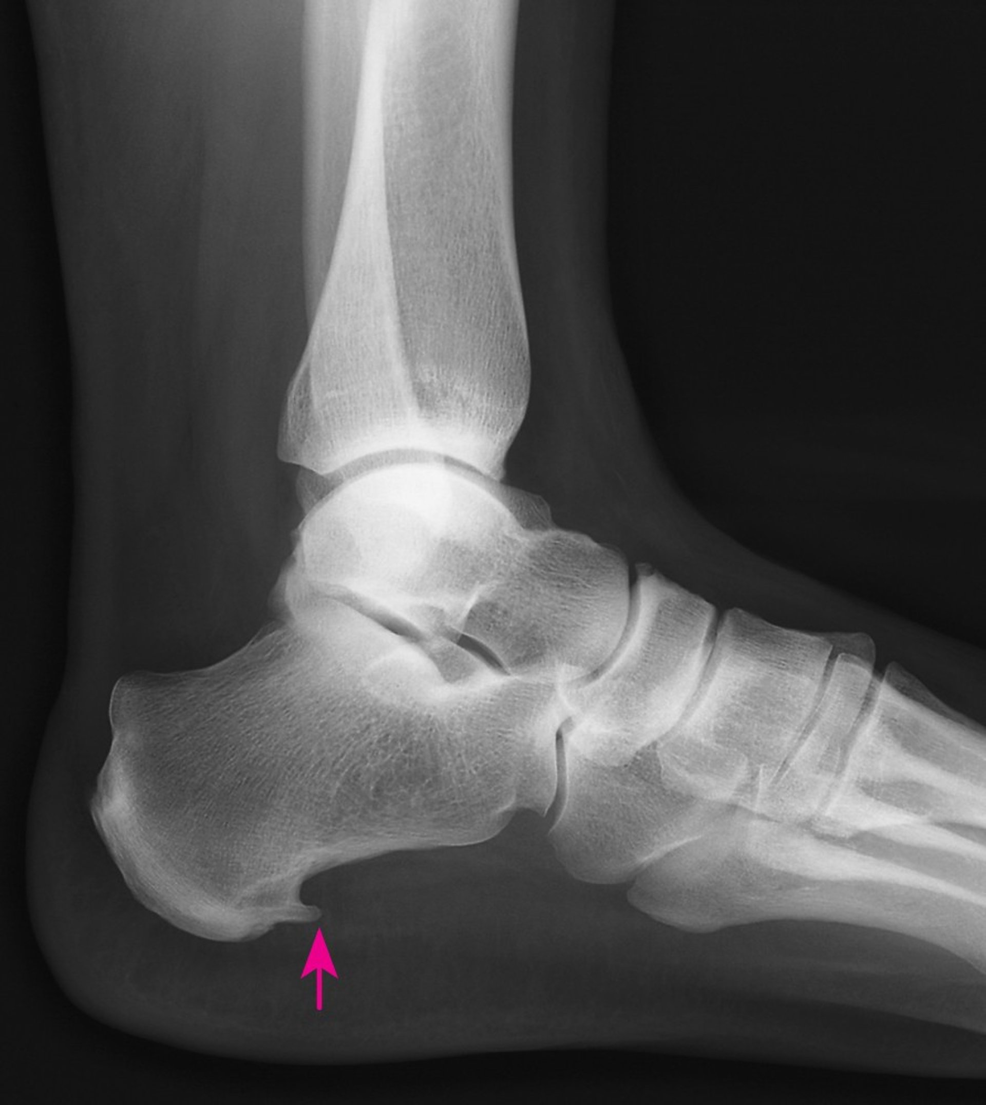
This x-ray shows a heel spur, the pointed growth of extra bone on the bottom of the heel bone (arrow).
ZEPHYR/SCIENCE PHOTO LIBRARY
In these topics
This x-ray shows a heel spur, the pointed growth of extra bone on the bottom of the heel bone (arrow).
ZEPHYR/SCIENCE PHOTO LIBRARY