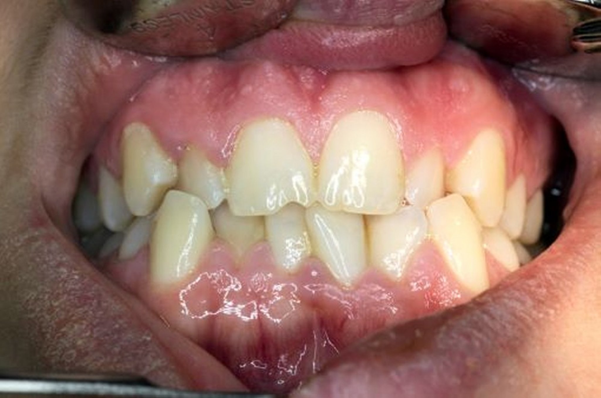
Malocclusion

Malocclusion

The upper and lower teeth are misaligned as the jaw is closed.

DR ARMEN TARANYAN/SCIENCE PHOTO LIBRARY

In these topics