Unicameral Bone Cyst
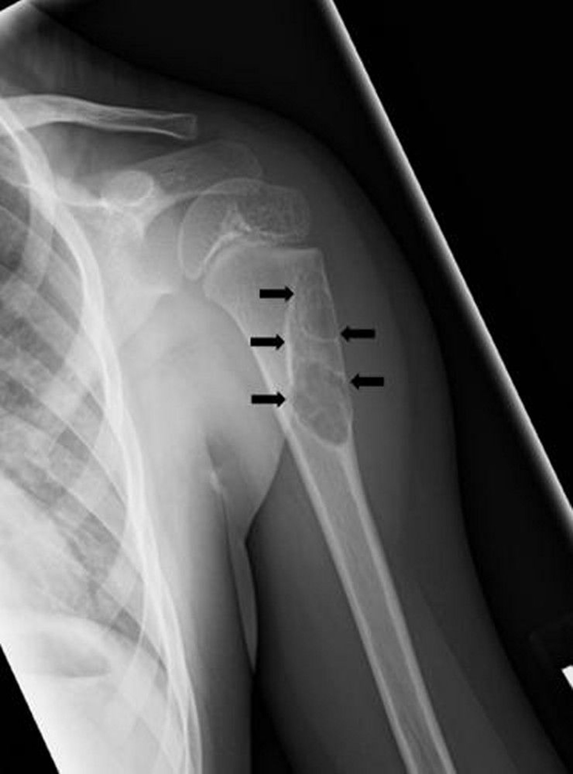
This x-ray shows a simple unicameral bone cyst (arrows) in the upper arm bone.
Image courtesy of Michael J. Joyce, MD, and Hakan Ilaslan, MD.
In these topics
This x-ray shows a simple unicameral bone cyst (arrows) in the upper arm bone.
Image courtesy of Michael J. Joyce, MD, and Hakan Ilaslan, MD.