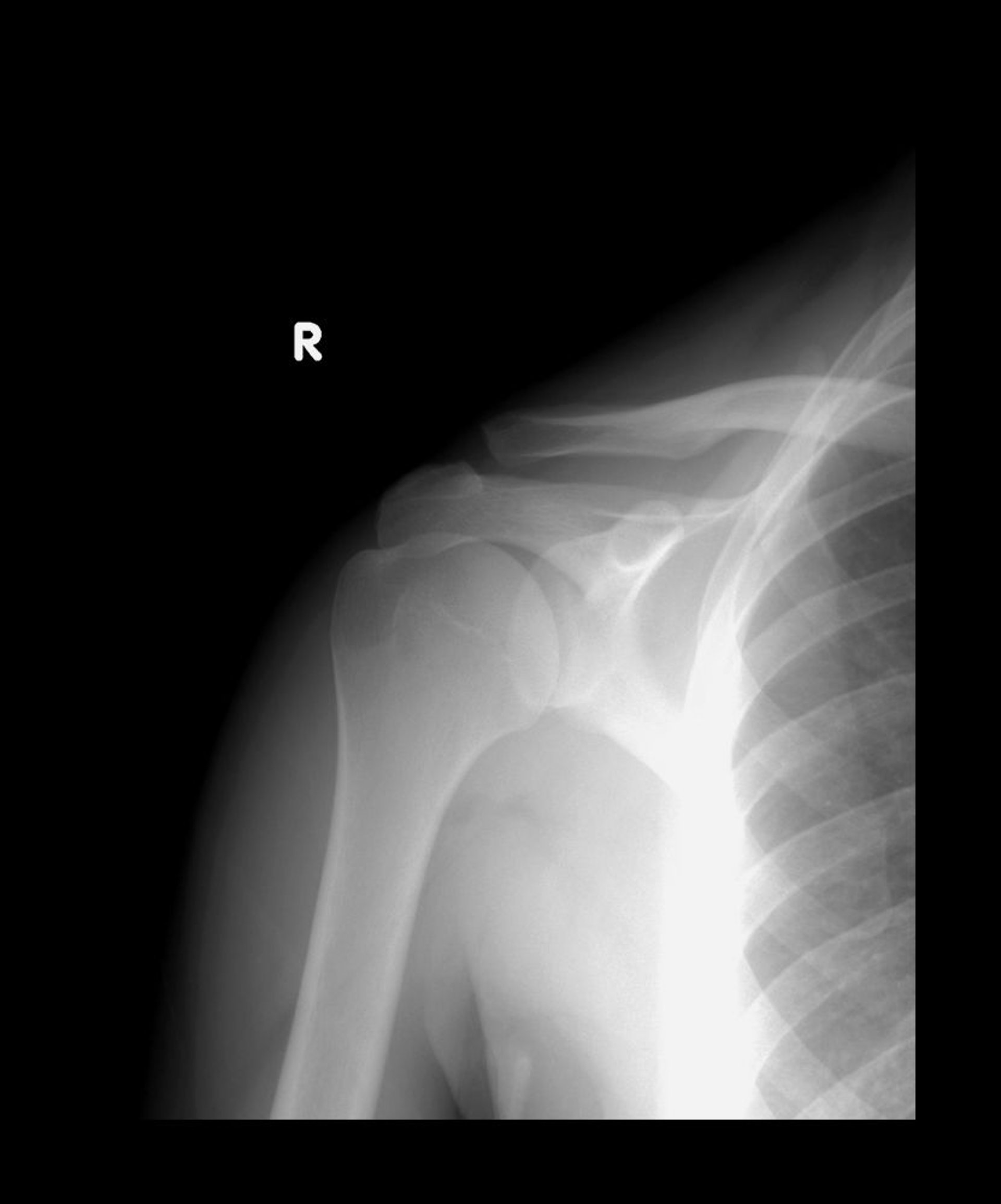
Acromioclavicular Joint Sprain
Normally, the lower ends of the acromion and clavicle align. In this radiograph, the clavicle is displaced upward but the 2 bones still overlap, suggesting a type II subluxation.
LIVING ART ENTERPRISES, LLC/SCIENCE PHOTO LIBRARY
In these topics
