Acute Appendicitis
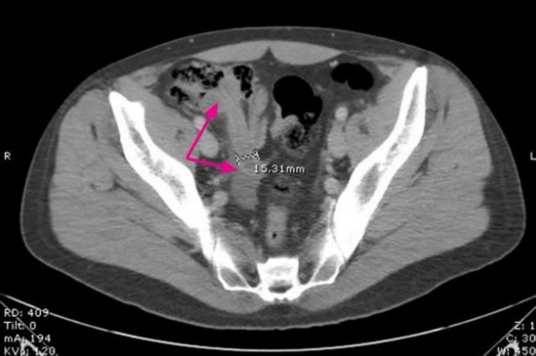
This image shows a dilated, thick-walled appendix (arrows) measuring 15.31 mm in diameter with surrounding inflammatory changes.
Image provided by Parswa Ansari, MD.
In these topics
This image shows a dilated, thick-walled appendix (arrows) measuring 15.31 mm in diameter with surrounding inflammatory changes.
Image provided by Parswa Ansari, MD.