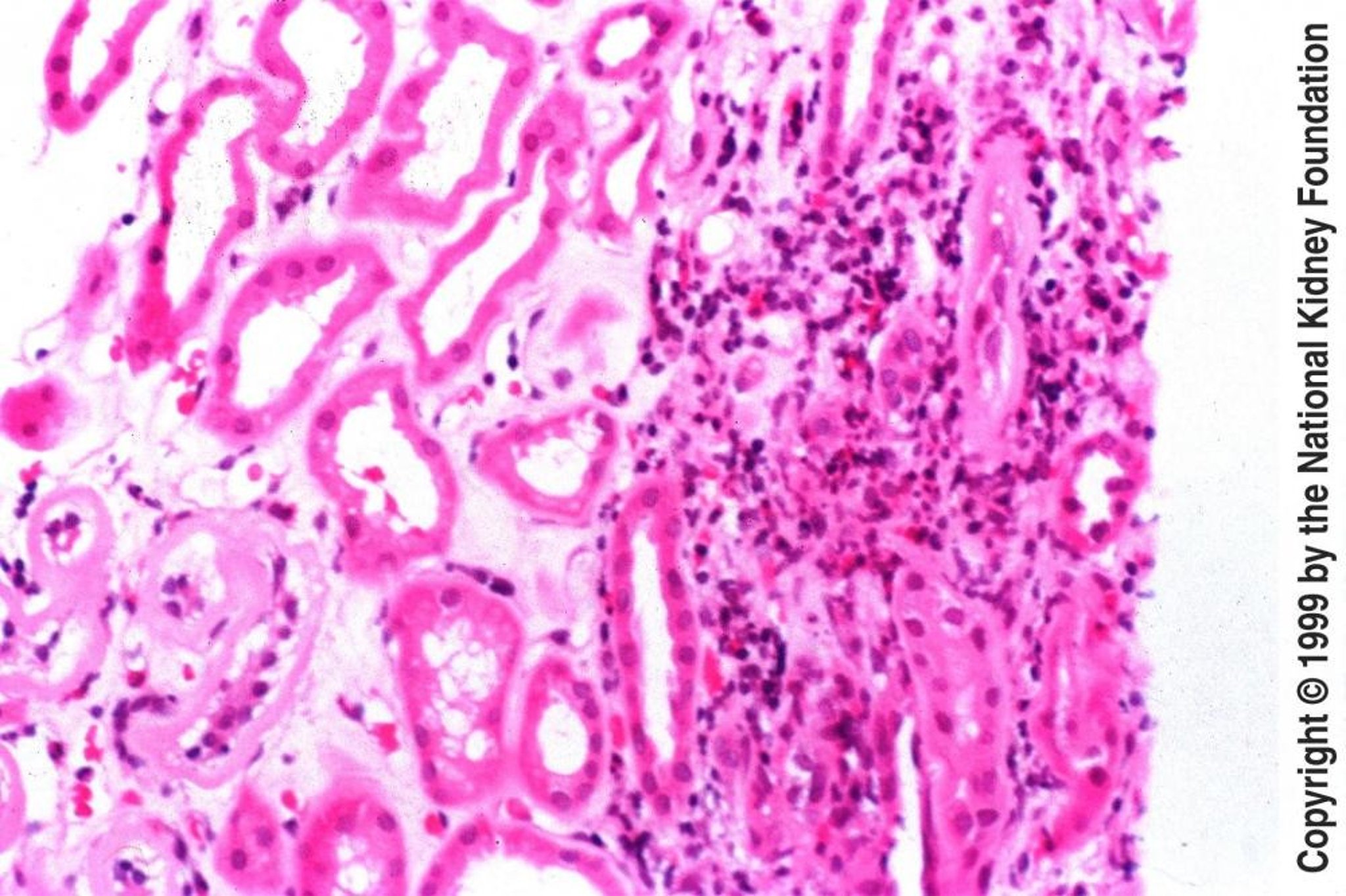
Acute Tubulointerstitial Nephritis
Biopsy specimen in acute tubulointerstitial nephritis demonstrates interstitial edema with infiltration by eosinophils, lymphocytes, and plasma cells (hematoxylin-eosin stain, ×200).
Image provided by Agnes Fogo, MD, and the American Journal of Kidney Diseases' Atlas of Renal Pathology (see www.ajkd.org).
In these topics
