Atelectasis and Left Lung Collapse (Radiograph)

Atelectasis and Left Lung Collapse (Radiograph)

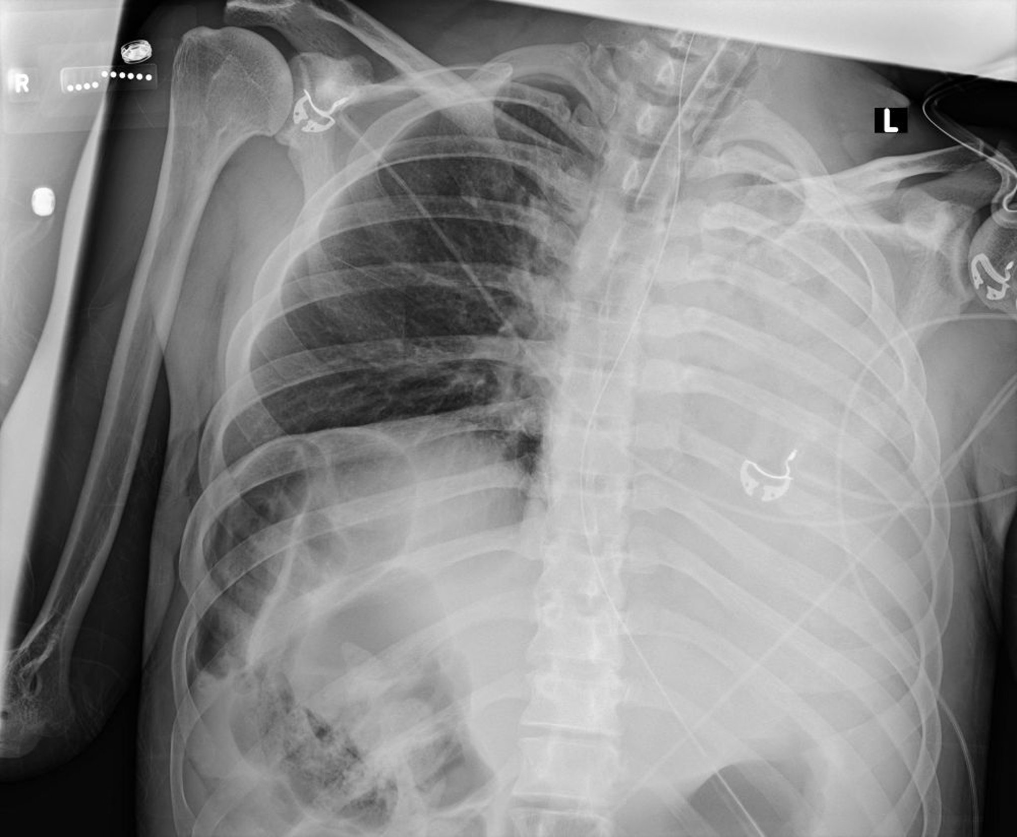
This chest radiograph shows collapse of all lobes of the left lung due to a mucus plug.

Courtesy of Alexander S. Niven, MD

In these topics