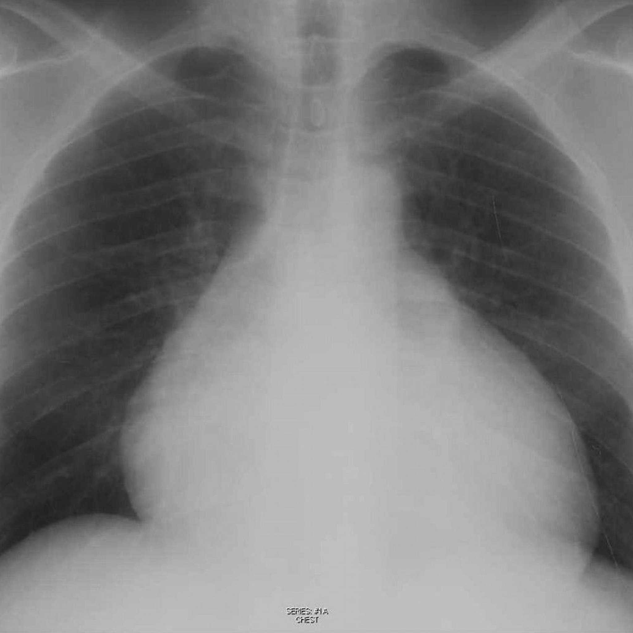
Chest Radiograph of a Patient with Pericardial Effusion
This radiograph shows enlarged cardiac silhouette in a patient with a pericardial effusion.
© 2017 Elliot K. Fishman, MD.
In these topics
This radiograph shows enlarged cardiac silhouette in a patient with a pericardial effusion.
© 2017 Elliot K. Fishman, MD.