Chronic Periodontitis
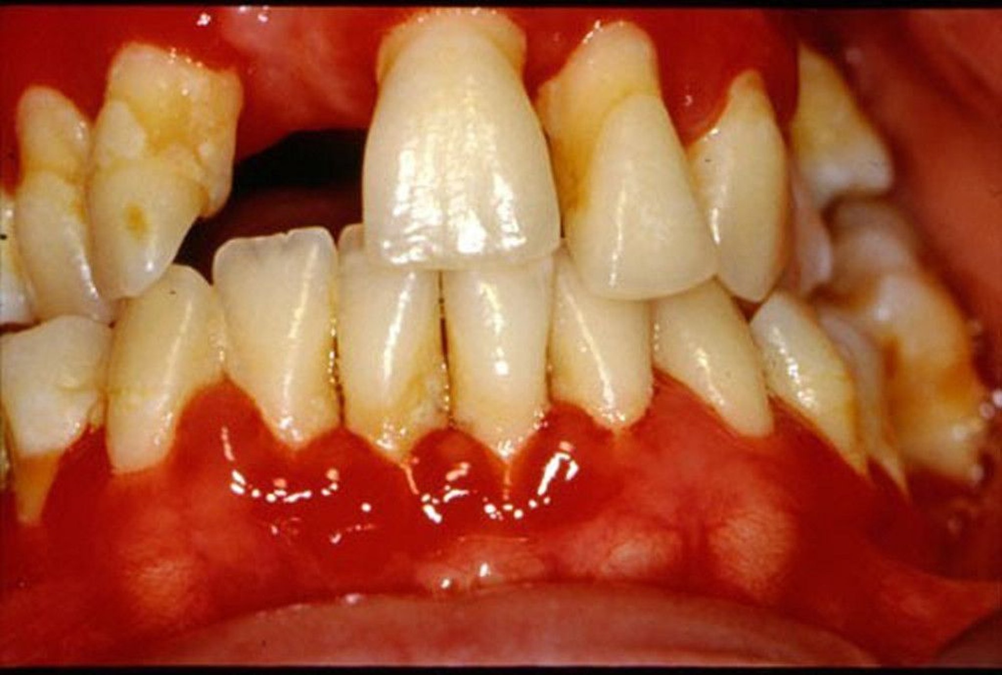
This photo shows chronic plaque-induced inflammation of the soft tissues resulting in loss of gum tissue and supporting bone, tooth movement, and loss of teeth.
Image provided by Jonathan A. Ship, DMD.
In these topics
This photo shows chronic plaque-induced inflammation of the soft tissues resulting in loss of gum tissue and supporting bone, tooth movement, and loss of teeth.
Image provided by Jonathan A. Ship, DMD.