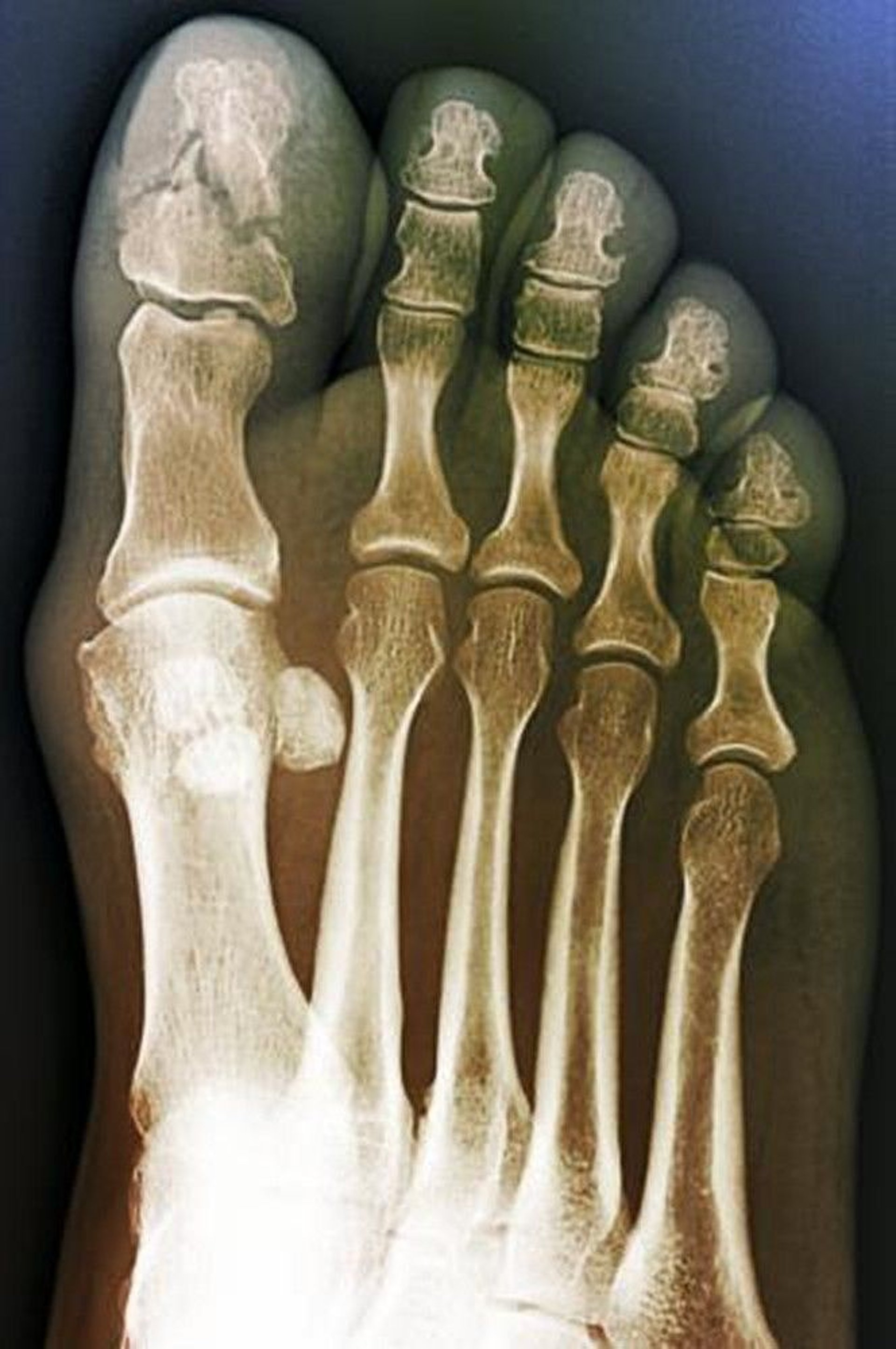
Comminuted Fracture of the Great Toe
This anteroposterior view shows a comminuted fracture of the great toe distal phalanx. This finding suggests a crush mechanism.
ZEPHYR/SCIENCE PHOTO LIBRARY
In these topics
This anteroposterior view shows a comminuted fracture of the great toe distal phalanx. This finding suggests a crush mechanism.
ZEPHYR/SCIENCE PHOTO LIBRARY