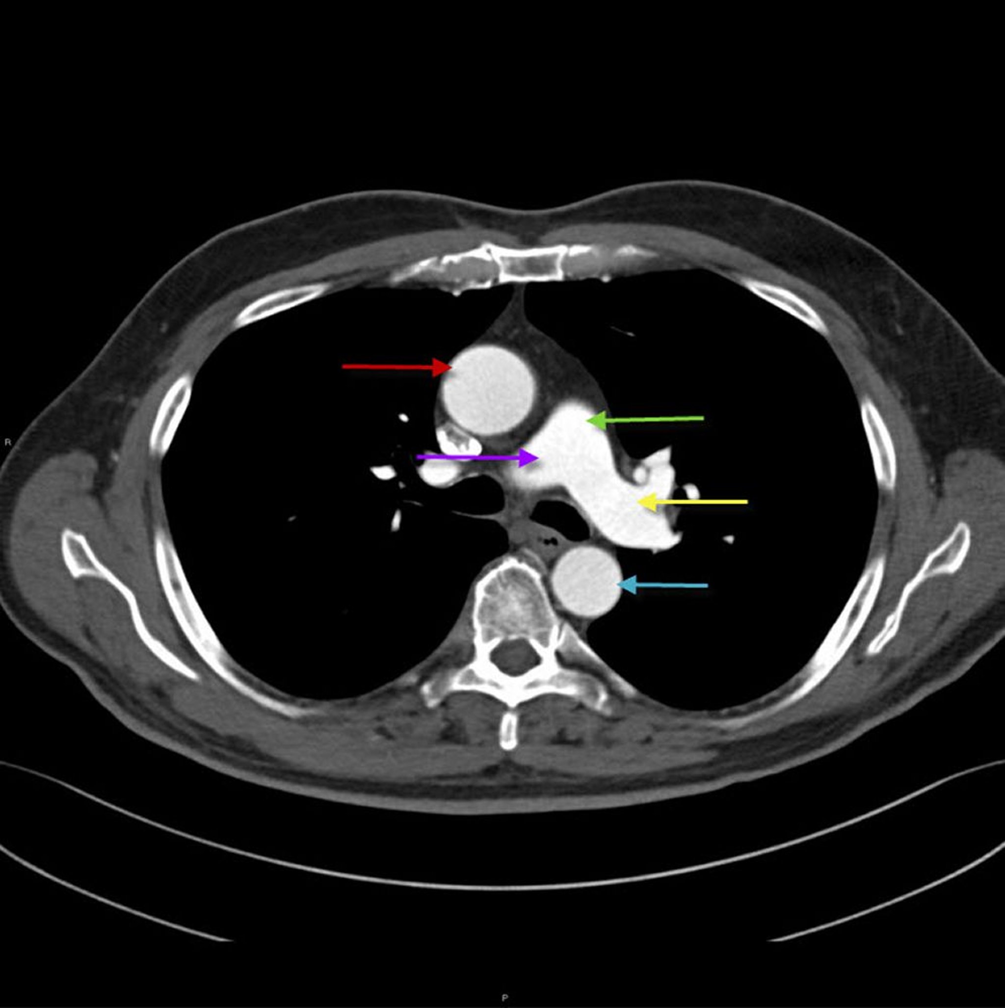
CT of Thorax Showing Anatomy of Aorta and Pulmonary Artery
This image shows the ascending thoracic aorta (red arrow) with descending thoracic aorta (blue arrow). The main pulmonary artery (green arrow) divides into the right (purple arrow) and left (yellow arrow) pulmonary artery.
© 2017 Elliot K. Fishman, MD.
In these topics
