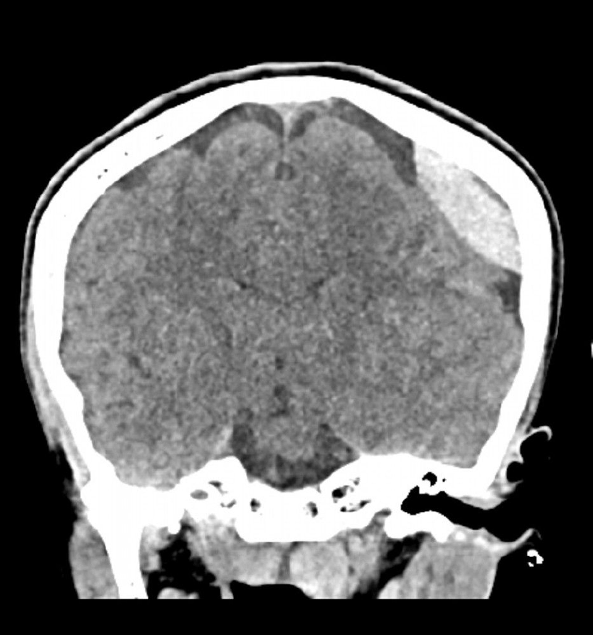
Epidural Hemorrhage (Coronal CT)
Classic lentiform (lens)-shaped hyperdensity that does not extend across suture lines.
© 2017 Elliot K. Fishman, MD.
Classic lentiform (lens)-shaped hyperdensity that does not extend across suture lines.
© 2017 Elliot K. Fishman, MD.