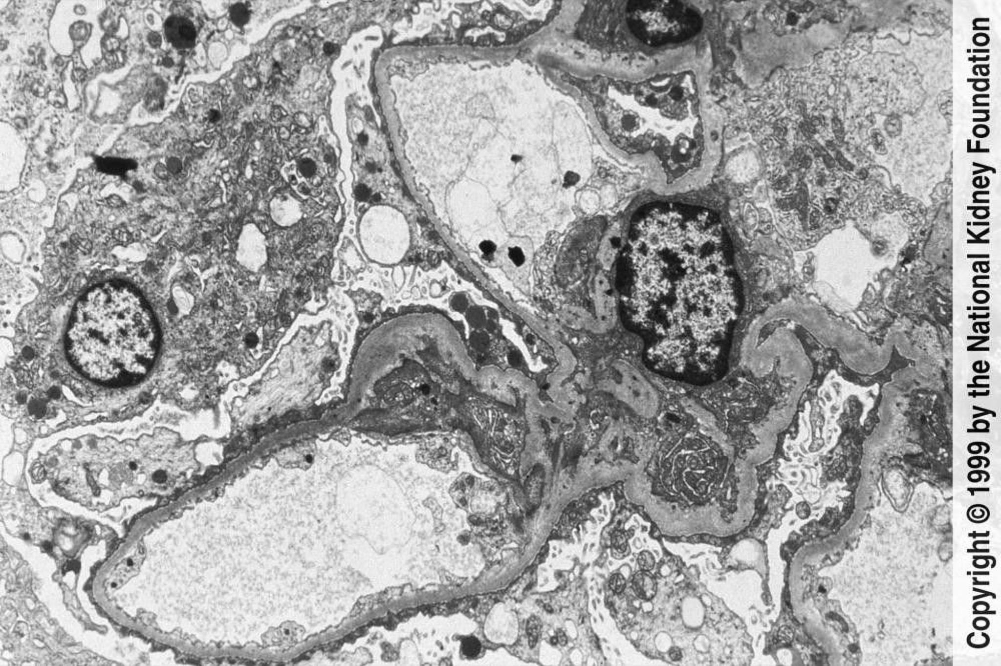
Focal Segmental Glomerulosclerosis (Blunting and Effacement of Foot Processes)
Extensive blunting and effacement of foot processes can be seen on transmission electron microscopy (×3000).
Image provided by Agnes Fogo, MD, and the American Journal of Kidney Diseases' Atlas of Renal Pathology (see www.ajkd.org).
In these topics
