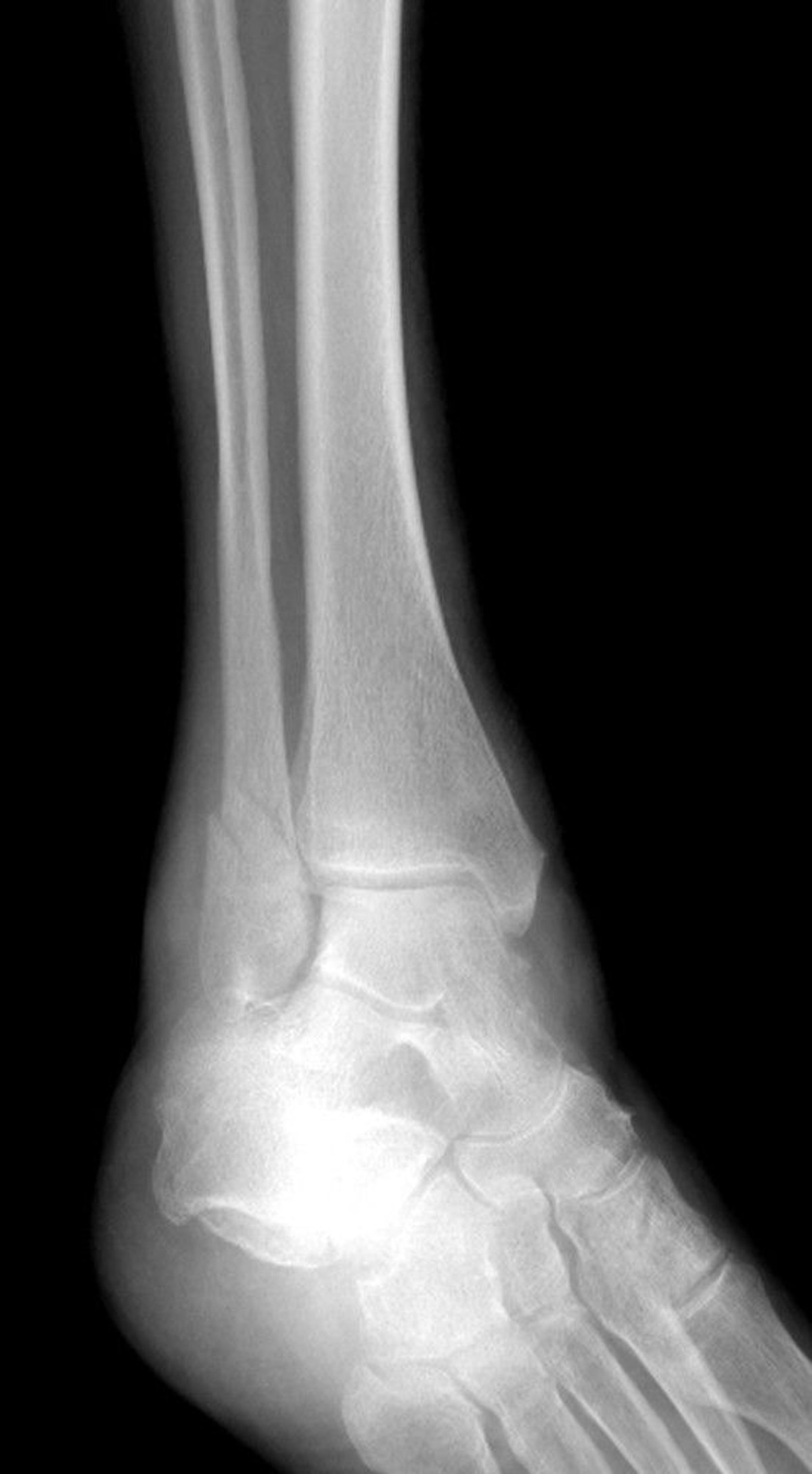
Fracture of Lateral Malleolus
This ankle fracture affects the lateral malleolus but spares the medial malleolus.
LIVING ART ENTERPRISES, LLC/SCIENCE PHOTO LIBRARY
In these topics
This ankle fracture affects the lateral malleolus but spares the medial malleolus.
LIVING ART ENTERPRISES, LLC/SCIENCE PHOTO LIBRARY