Glioblastoma
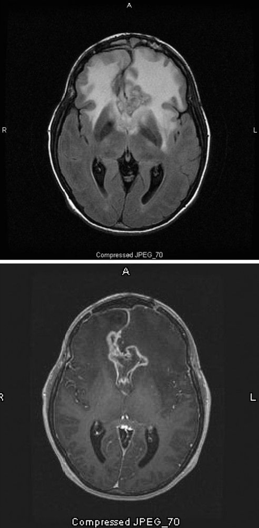
The T2-FLAIR MRI scan (top) shows a large, bilateral white (hyperdensity) signal around a glioblastoma, which is the highest grade and most malignant astrocytoma. This particular glioblastoma is called a butterfly glioma because the white signal around the tumor forms the wings of the butterfly; it is caused by cerebral edema. On the T1-weighted scan (bottom), contrast outlines the edge of the tumor (ring enhancement). The edema appears as a darkened area (hypointensity) on T1.
Images courtesy of William R. Shapiro, MD.
In these topics
