Herpes Simplex Esophagitis
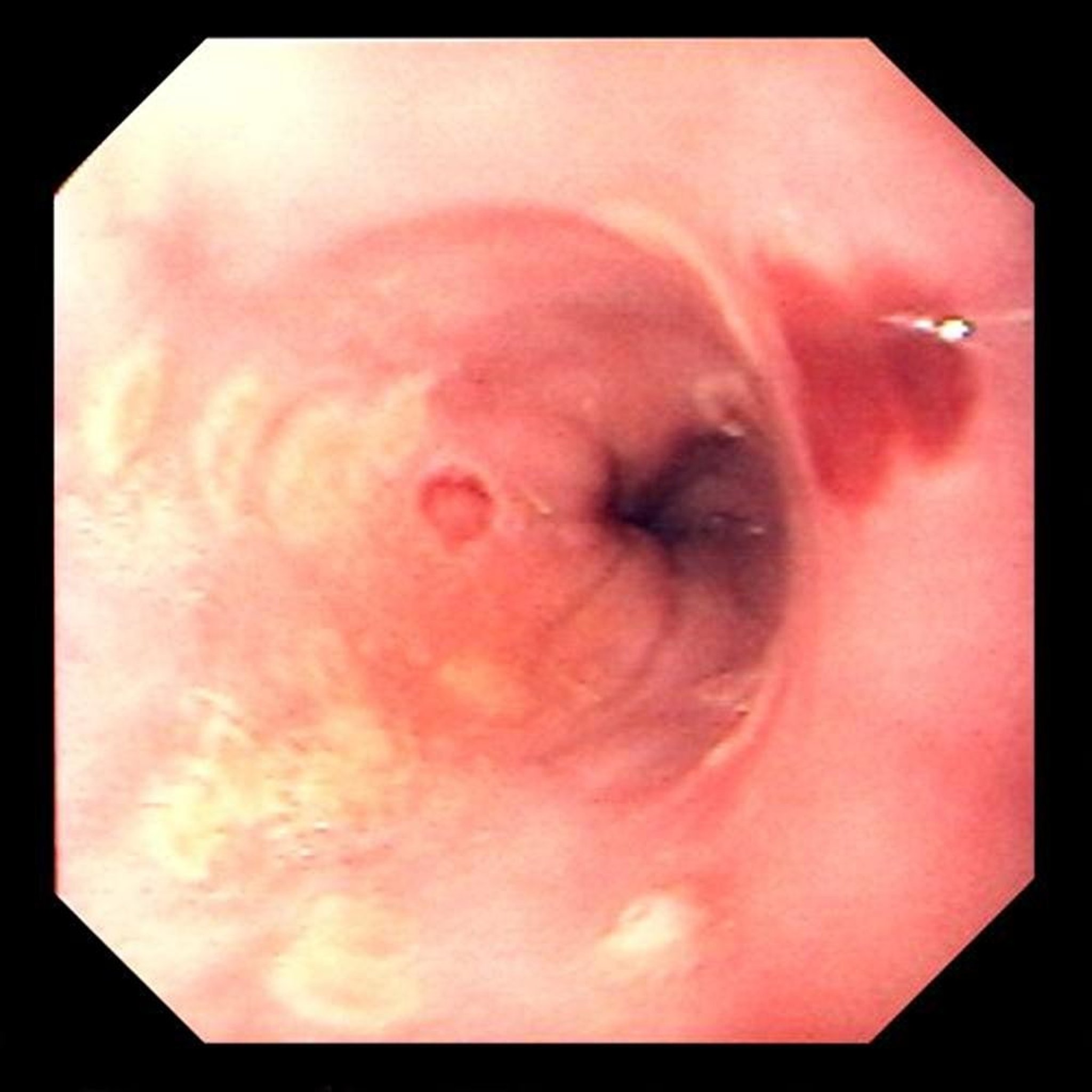
Focal ulcerations are typical of herpes simplex virus esophagitis.
Image provided by David M. Martin, MD.
In these topics
Focal ulcerations are typical of herpes simplex virus esophagitis.
Image provided by David M. Martin, MD.