Immunodeficiency-Related Burkitt Lymphoma
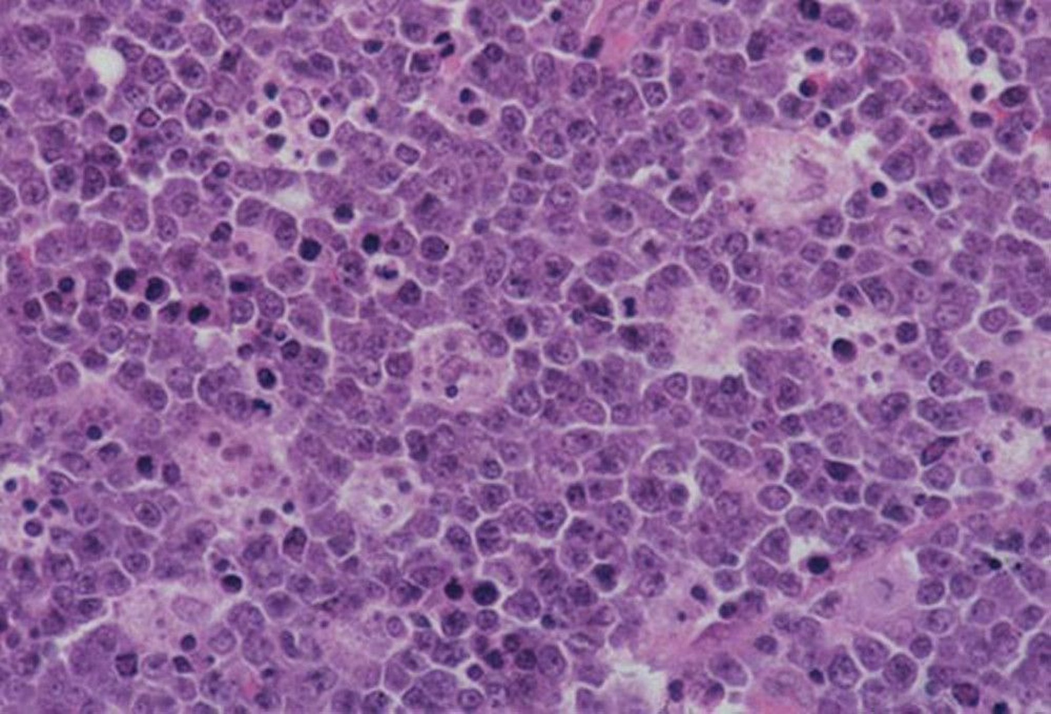
As in patients who do not have an immunodeficiency, Burkitt lymphoma has a "starry-sky" appearance due to the numerous debris-containing macrophages (denoting rapid cell turnover). The tumor also has a high mitotic rate.
By permission of the publisher. From Banks P, et al. In Atlas of Clinical Hematology. Edited by JO Armitage. Philadelphia, Current Medicine, 2004. Available at www.images.md.
In these topics
