Ischemic Colitis (CT Scan)
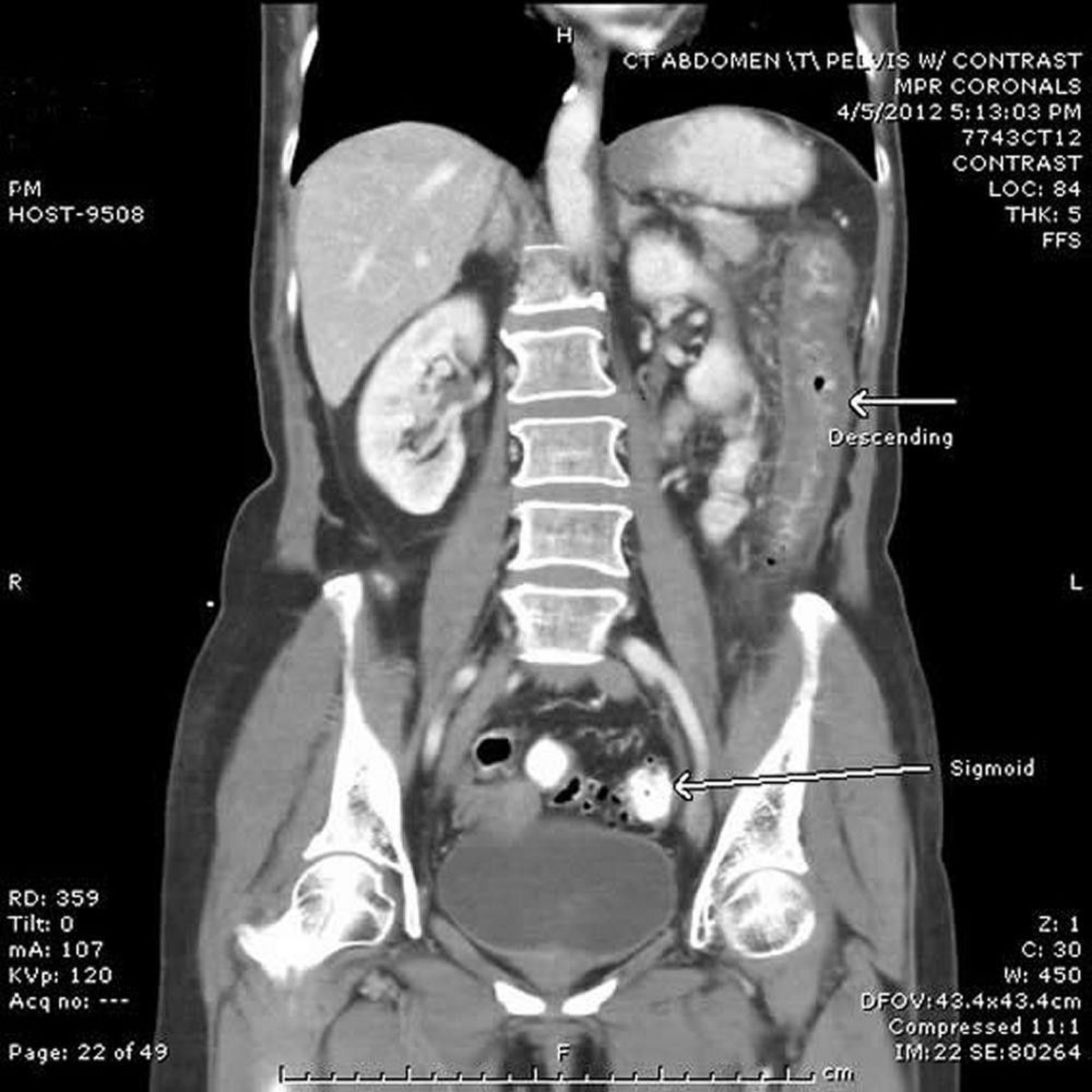
In this CT scan, the descending colon (top arrow) is thick-walled from the splenic flexure to the proximal sigmoid colon. Note the distal sigmoid colon (bottom arrow) with diverticulosis but without inflammatory or ischemic changes.
Image provided by Parswa Ansari, MD.
In these topics
