Kidney Glomerulus (Light Micrograph)
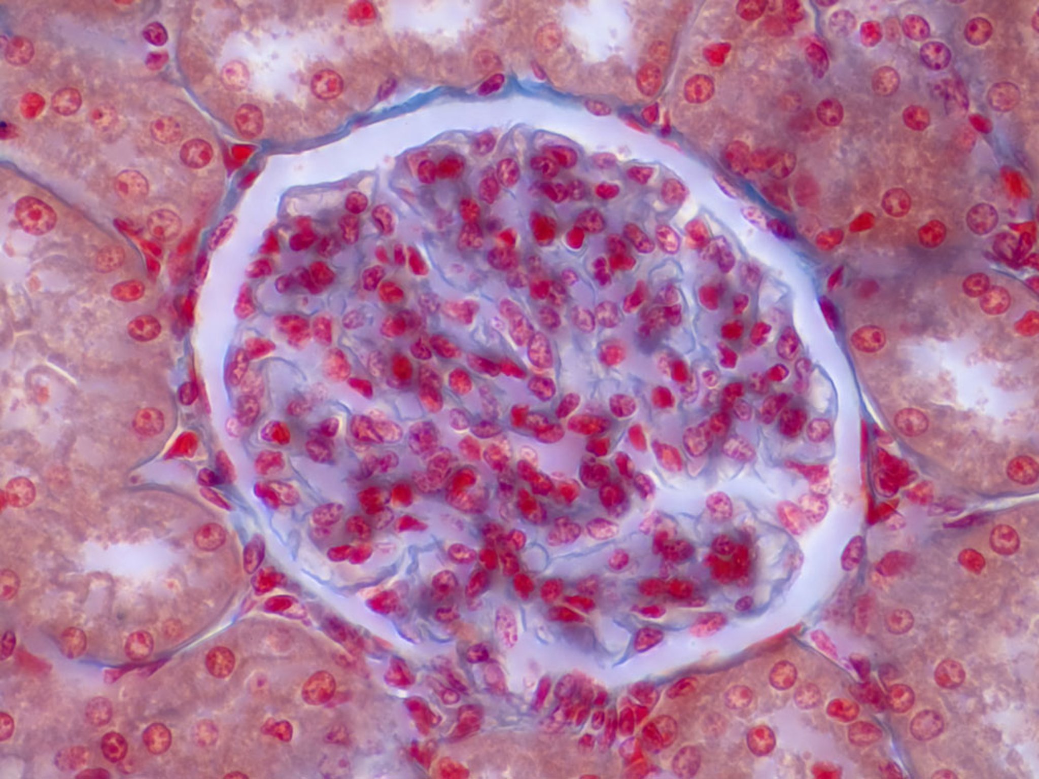
The figure shows a cross section of a renal corpuscle. The glomerulus contains a network of capillaries, which contain the red blood cells seen in the micrograph. The fenestrated podocytes covering the capillaries cannot be seen here. The glomerulus is surrounded by Bowman space.
CHOKSAWATDIKORN / SCIENCE PHOTO LIBRARY
In these topics
