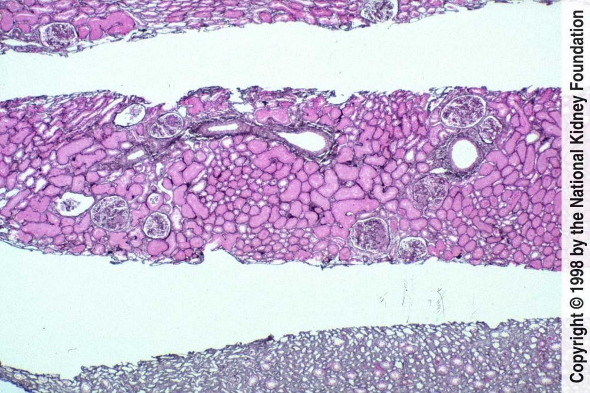
Lupus Nephritis—Focal (Class III)
Focal lupus nephritis is characterized by endocapillary proliferation caused by immune complex deposits involving < 50% of glomeruli in a biopsy specimen.
Image provided by Agnes Fogo, MD, and the American Journal of Kidney Diseases' Atlas of Renal Pathology (see www.ajkd.org).
In these topics
