Lymphangioleiomyomatosis
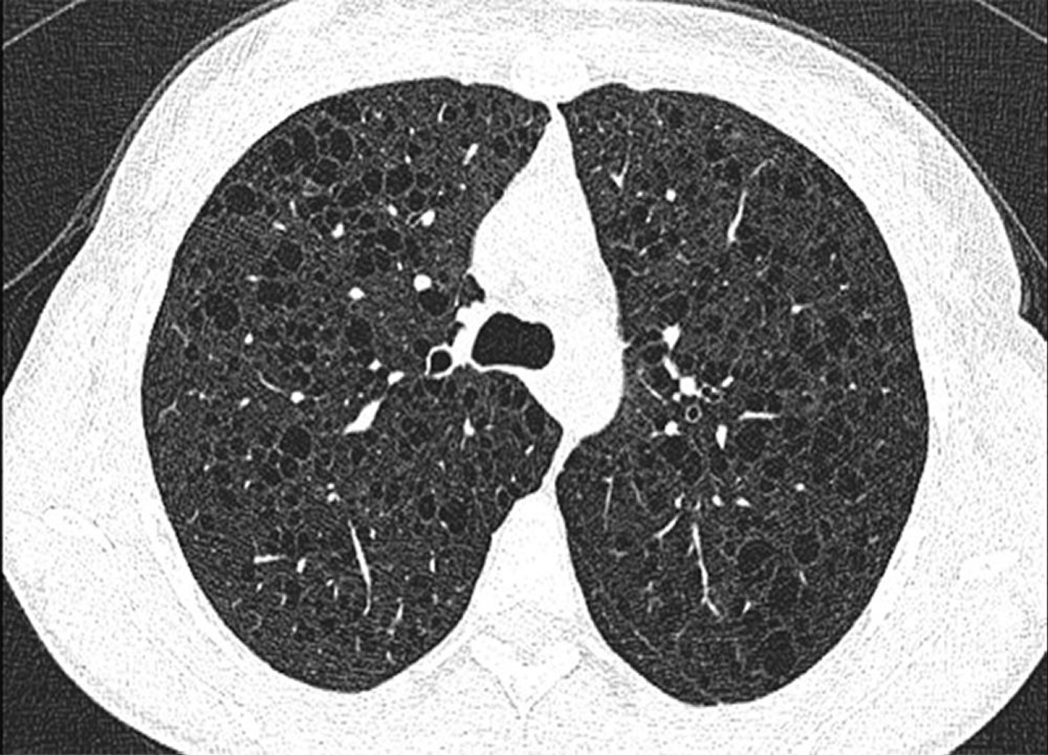
This image shows diffuse cysts in both lungs in a patient with lymphangioleiomyomatosis.
Image courtesy of Joyce Lee, MD, MAS.
In these topics
This image shows diffuse cysts in both lungs in a patient with lymphangioleiomyomatosis.
Image courtesy of Joyce Lee, MD, MAS.