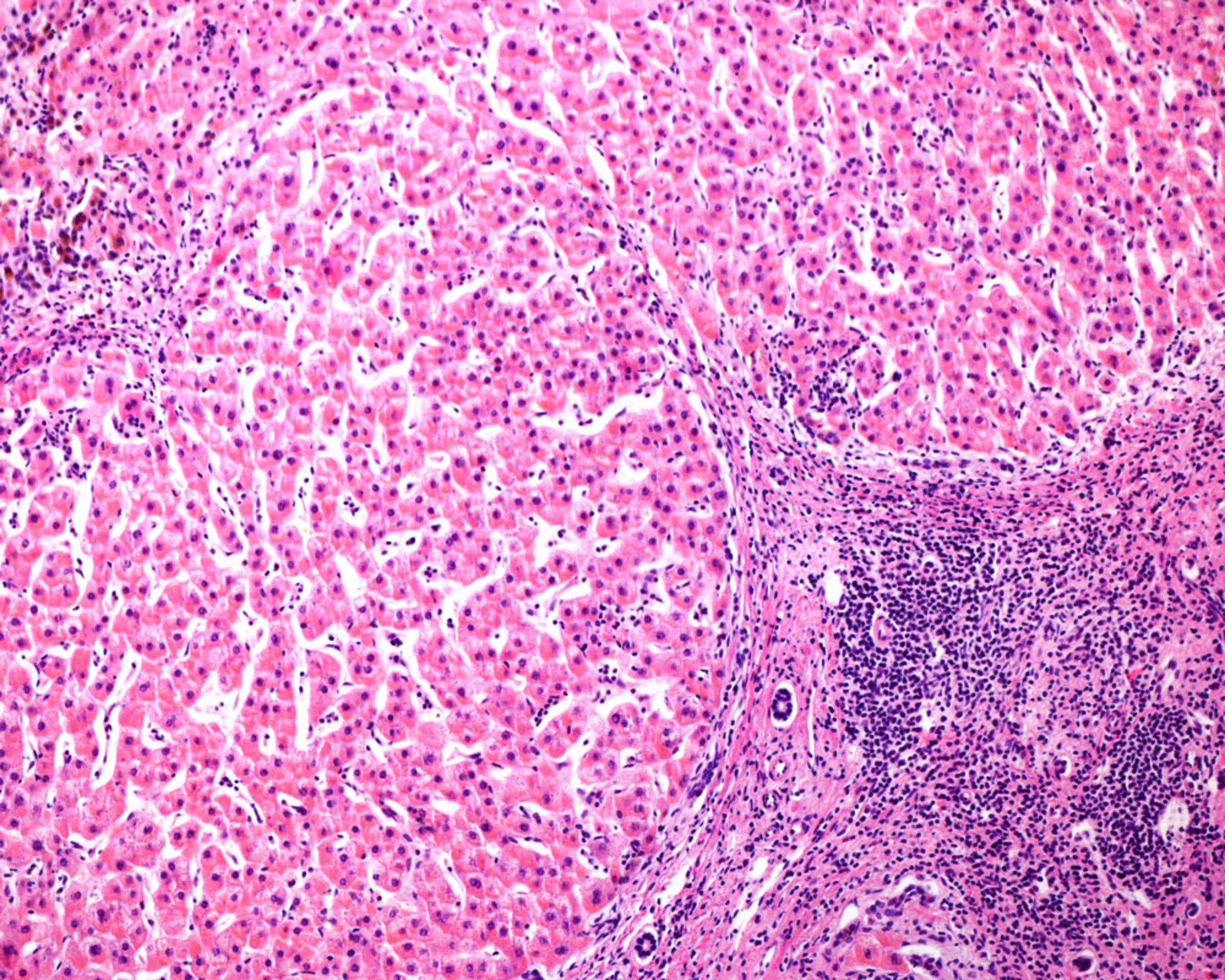
Micronodular Cirrhosis in Human Liver (Light Micrograph)
Light micrograph of a human liver with micronodular cirrhosis, a frequent consequence of alcoholic hepatitis. The regenerating nodules are separated by connective tissue septa showing chronic inflammatory infiltrates. Note the absence of a central vein in the nodules and of portal triads in the connective tissue septa.
JOSE CALVO / SCIENCE PHOTO LIBRARY
In these topics
