honeypot link
skip to main content
Professional
Consumer
Merck Manual
Professional Version
MEDICAL TOPICS
RESOURCES
DRUG INFO
COMMENTARY
PROCEDURES
QUIZZES
ABOUT US
MEDICAL TOPICS
RESOURCES
<
Images
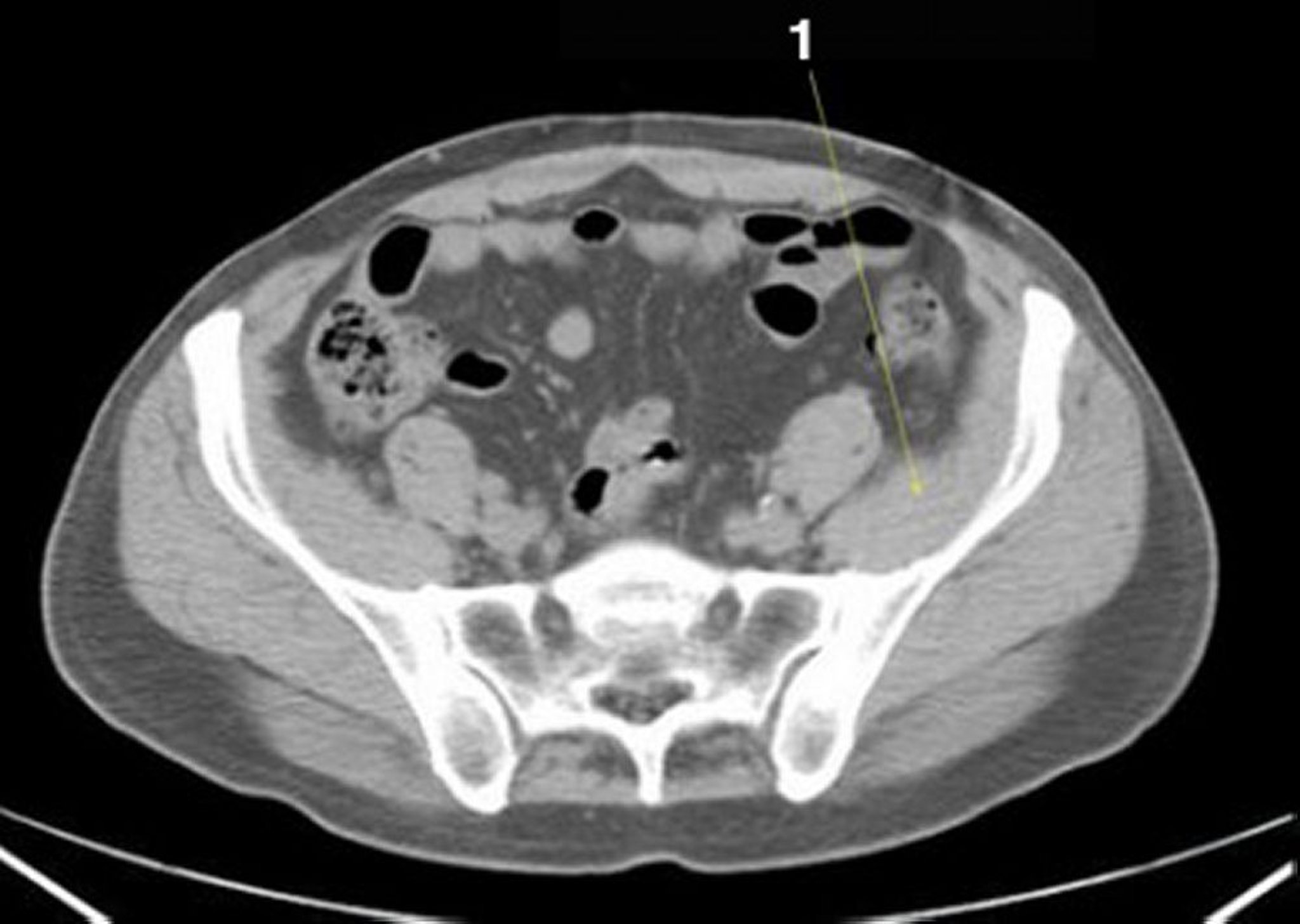
Noncontrast CT Scan of the Abdomen and Pelvis Showing Normal Anatomy (Slide 22)
1 = iliacus muscle.
© Springer Science+Business Media
In these topics
Evaluation of the Gastrointestinal Patient
>