Olecranon Fracture
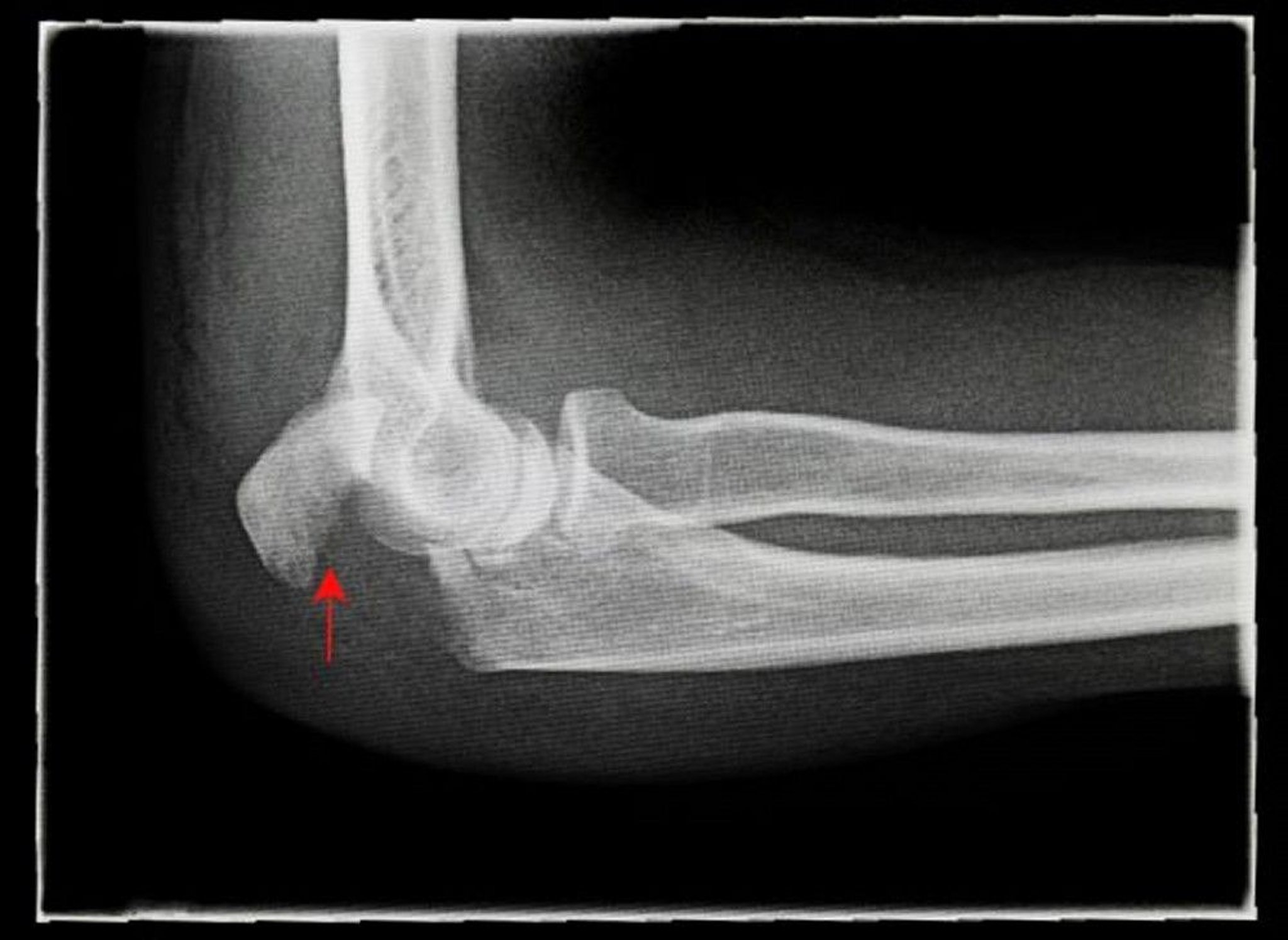
This lateral radiograph shows a displaced olecranon fracture (arrow).
Credit line: ANTONIA REEVE/SCIENCE PHOTO LIBRARY
In these topics
This lateral radiograph shows a displaced olecranon fracture (arrow).
Credit line: ANTONIA REEVE/SCIENCE PHOTO LIBRARY