Osteoid Osteoma
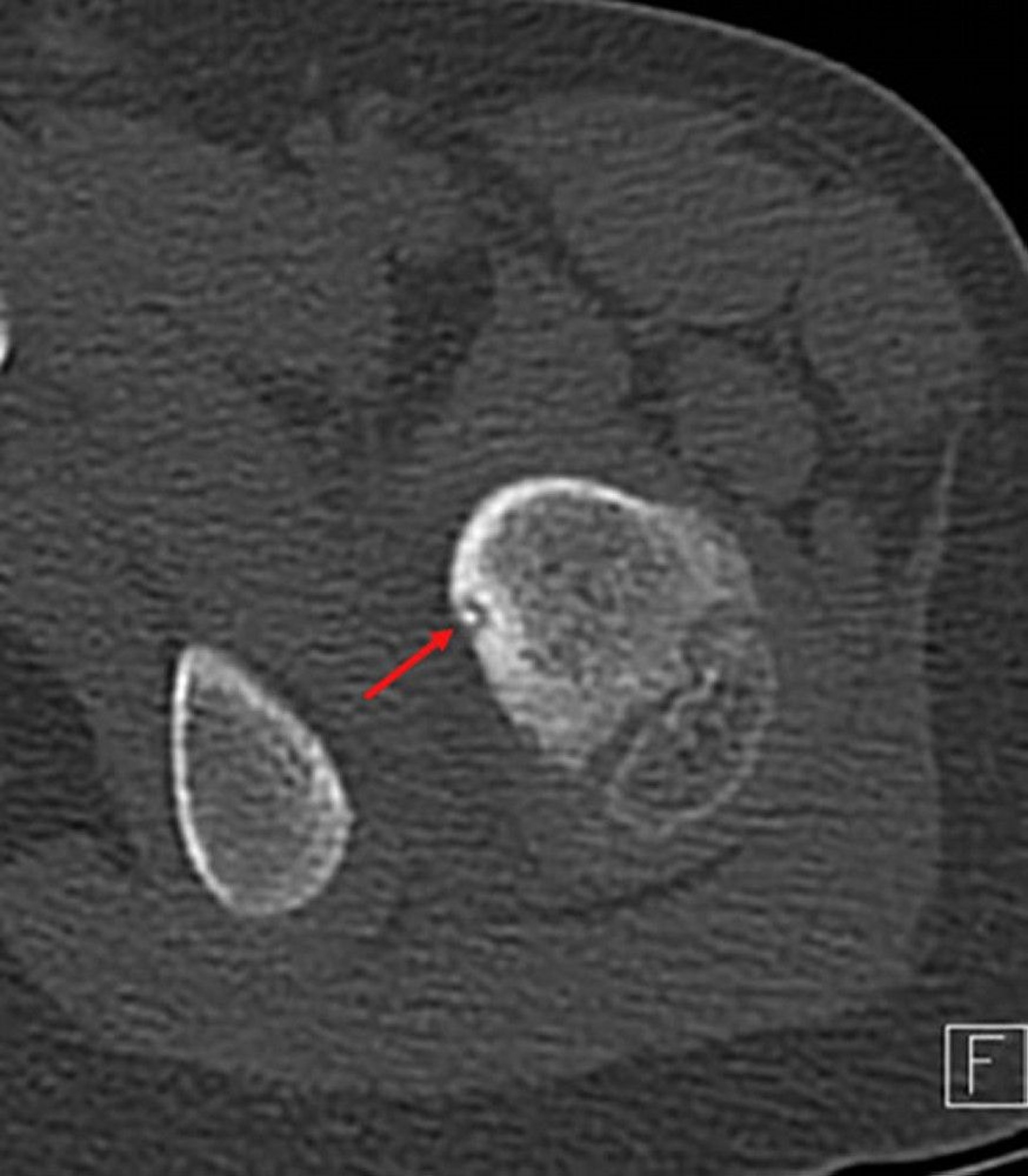
Axial CT image of the proximal femur (adjacent bone is pelvic ramus) demonstrating the typical radiolucent nidus with central calcification (arrow) and surrounding reactive rim in a child with left hip pain.
Image courtesy of Michael J. Joyce, MD, and Hakan Ilaslan, MD.
In these topics
