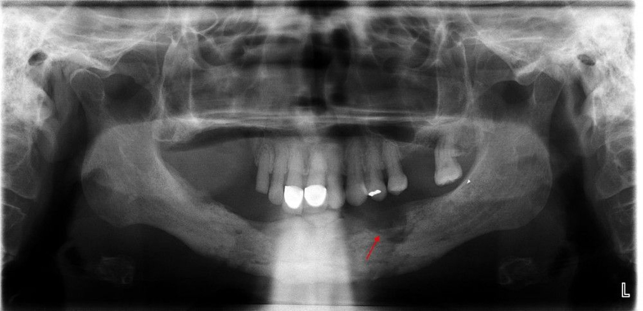
Osteomyelitis
This radiograph reveals osteomyelitis with an evident sequestrum (nonviable bone) noted in the left mandibular quadrant (arrow).
Image courtesy of Byron (Pete) Benson, DDS, MS, Texas A&M University Baylor College of Dentistry.
In these topics
