Patellar Fracture
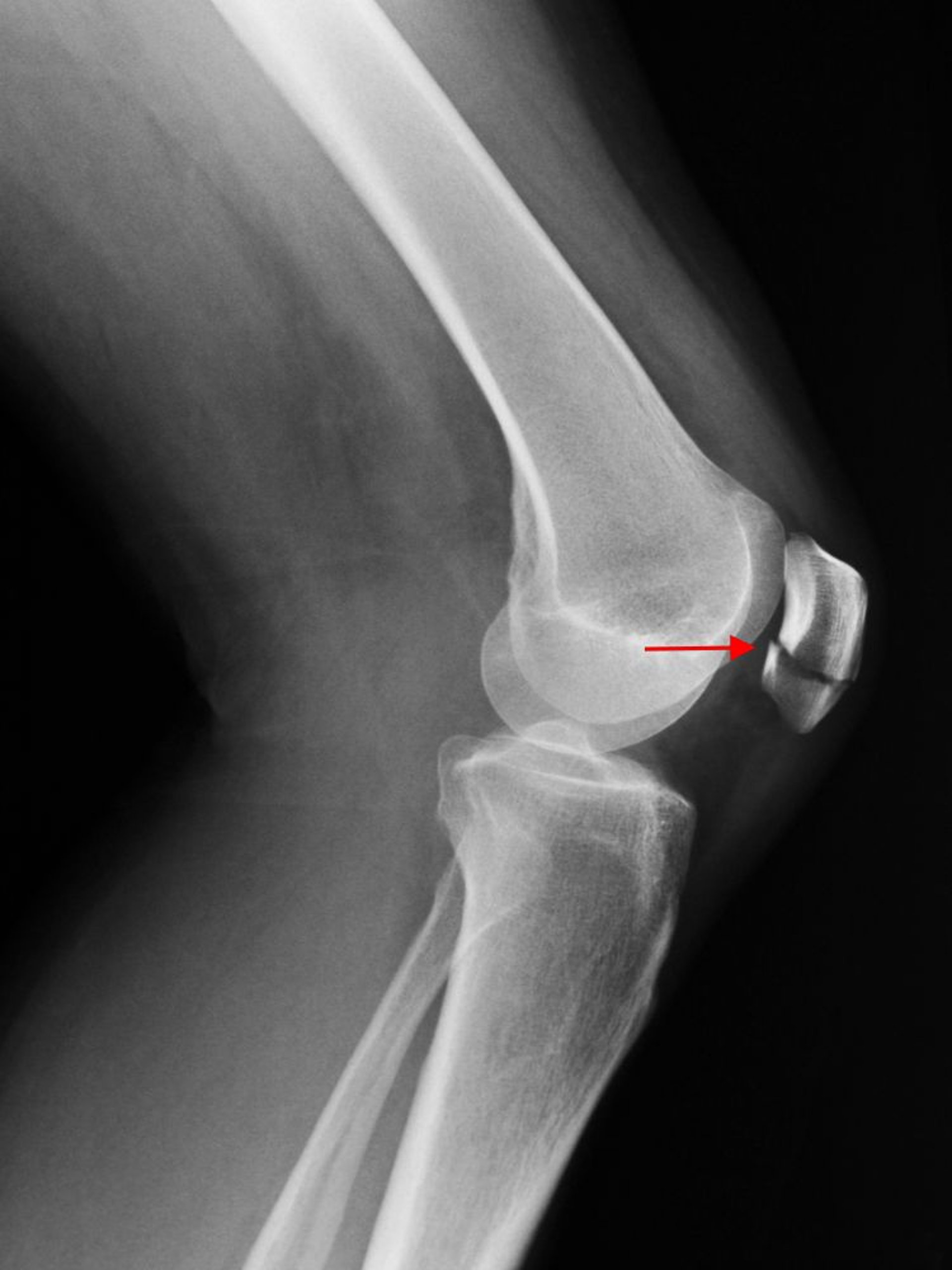
A lateral knee radiograph shows a transverse fracture of the patella (arrow).
SCOTT CAMAZINE/SCIENCE PHOTO LIBRARY
In these topics
A lateral knee radiograph shows a transverse fracture of the patella (arrow).
SCOTT CAMAZINE/SCIENCE PHOTO LIBRARY