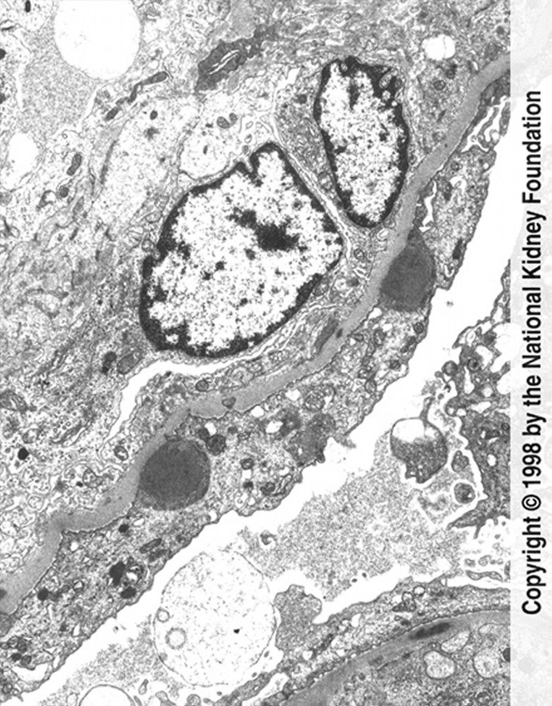
Postinfectious Glomerulonephritis (Immune Complex Deposits)
Hump-shaped immune complex deposits (dark gray) with extensive foot process effacement and endocapillary proliferation are seen on transmission electron micrograph (×11,250).
Image provided by Agnes Fogo, MD, and the American Journal of Kidney Diseases' Atlas of Renal Pathology (see www.ajkd.org).
In these topics
