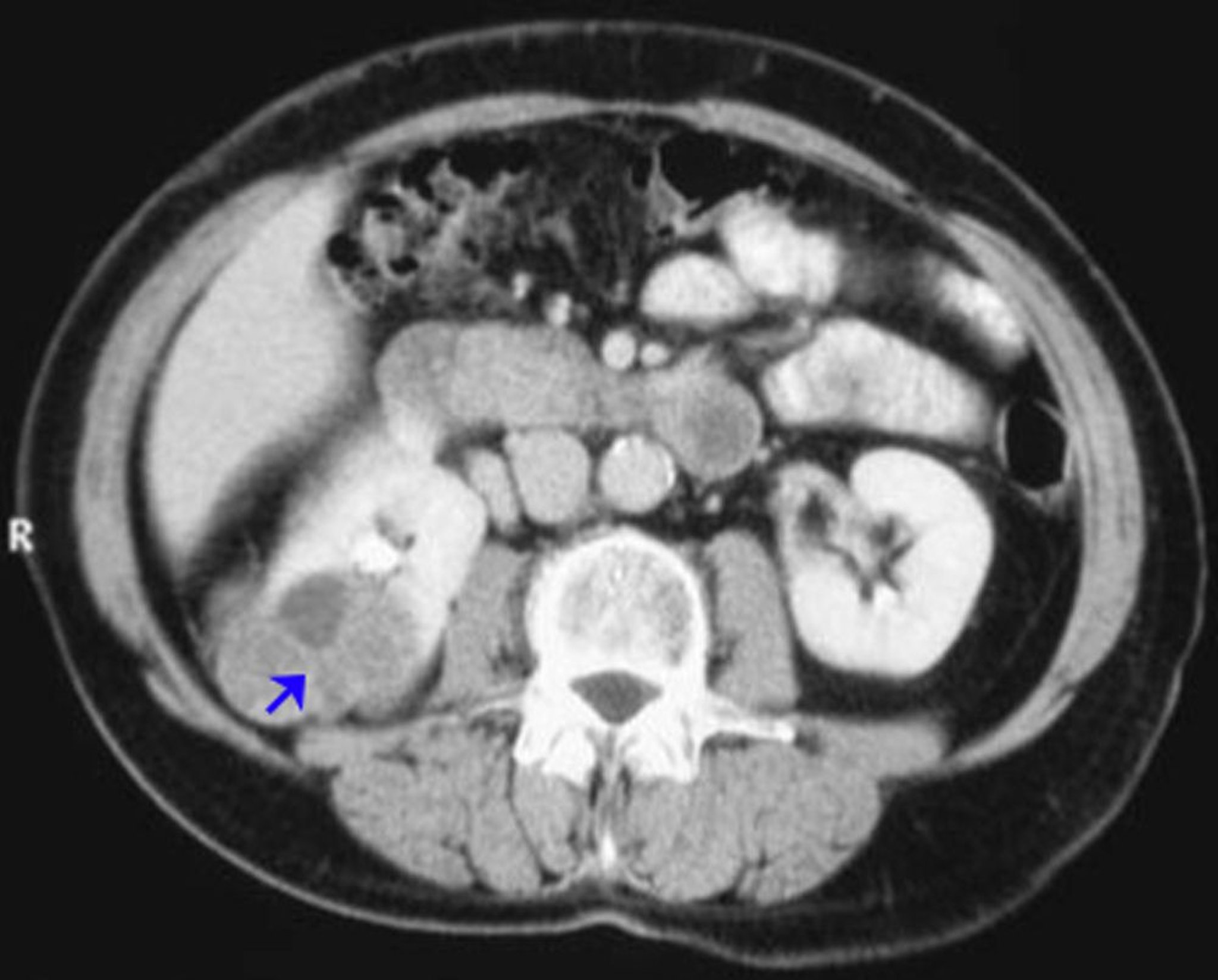
Renal Cell Carcinoma (Contrast CT Scan)
This image shows an example of a renal cell carcinoma of the right kidney (arrow) showing a poorly enhancing tumor.
© Springer Science+Business Media
In these topics
This image shows an example of a renal cell carcinoma of the right kidney (arrow) showing a poorly enhancing tumor.
© Springer Science+Business Media