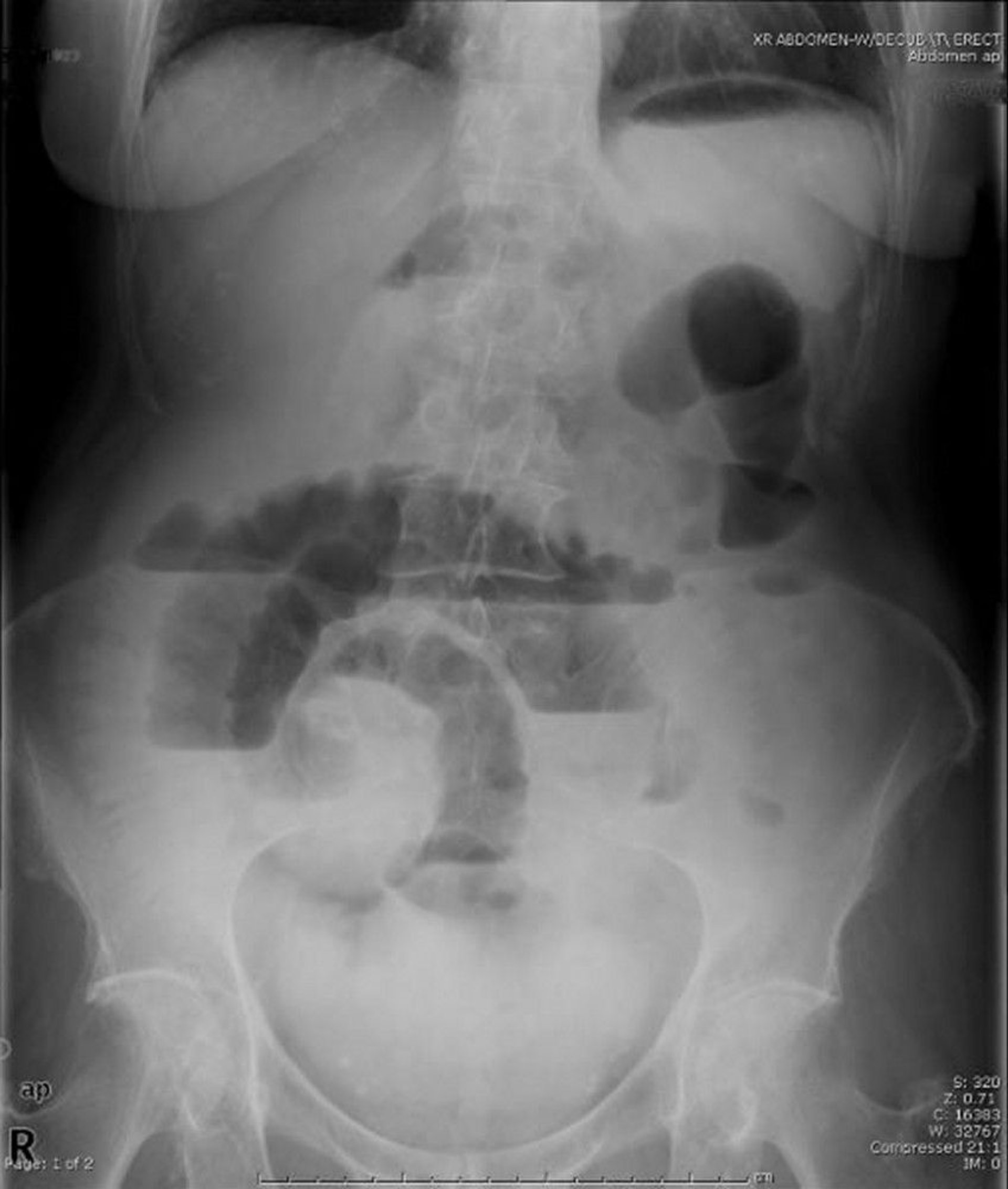
Small-Bowel Obstruction (Upright Radiograph)
This upright abdominal radiograph shows obstruction of the small bowel. Note the multiple air-fluid levels.
Image provided by Parswa Ansari, MD.
In these topics
This upright abdominal radiograph shows obstruction of the small bowel. Note the multiple air-fluid levels.
Image provided by Parswa Ansari, MD.