Subtle Distal Fibular Fracture (Lateral View)
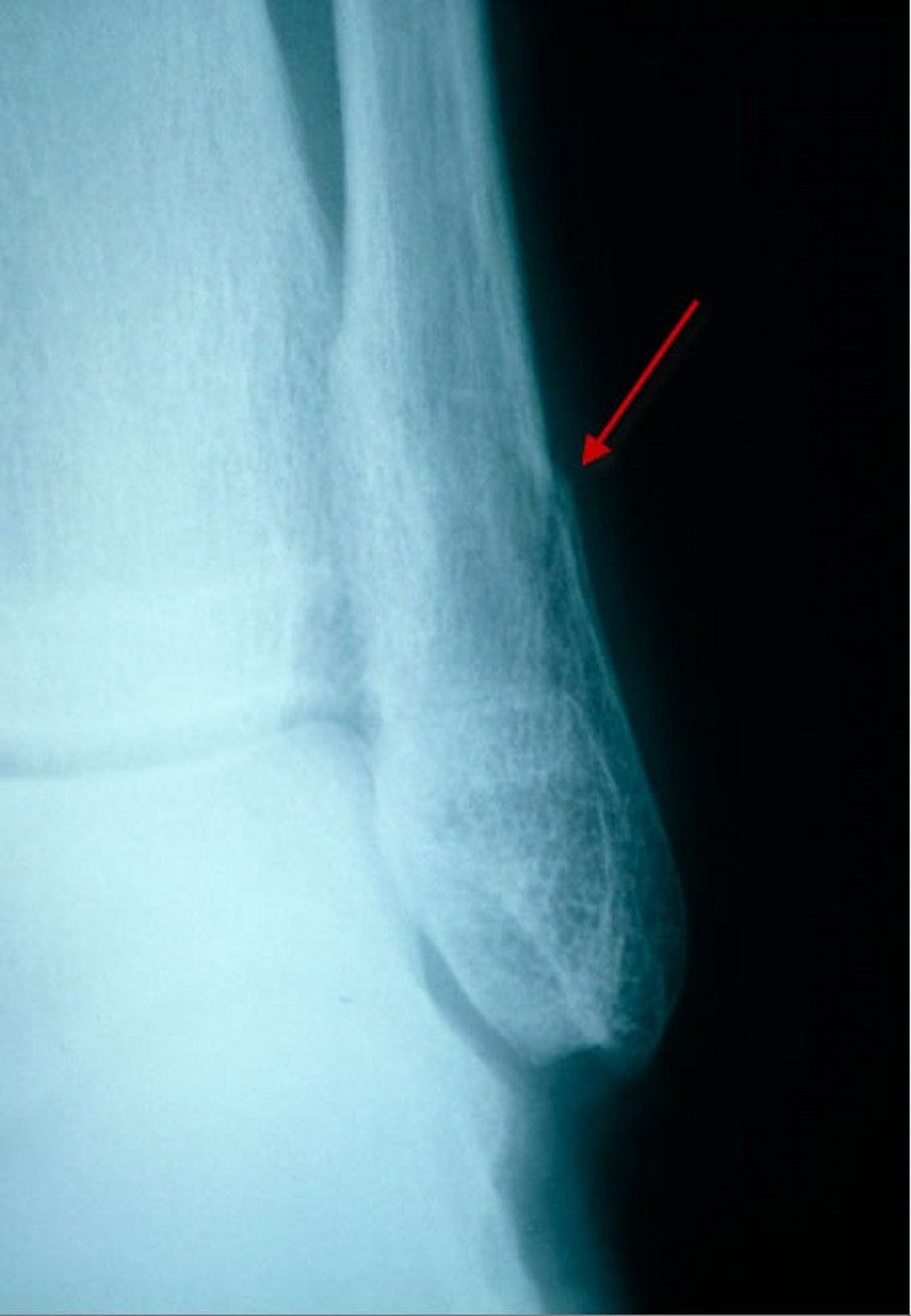
In this lateral view, a fracture of the distal fibula is visible as a small lucency and discontinuity (step-off) of the cortex.
DR P. MARAZZI/SCIENCE PHOTO LIBRARY
In these topics
In this lateral view, a fracture of the distal fibula is visible as a small lucency and discontinuity (step-off) of the cortex.
DR P. MARAZZI/SCIENCE PHOTO LIBRARY