Torus Fracture of the Finger
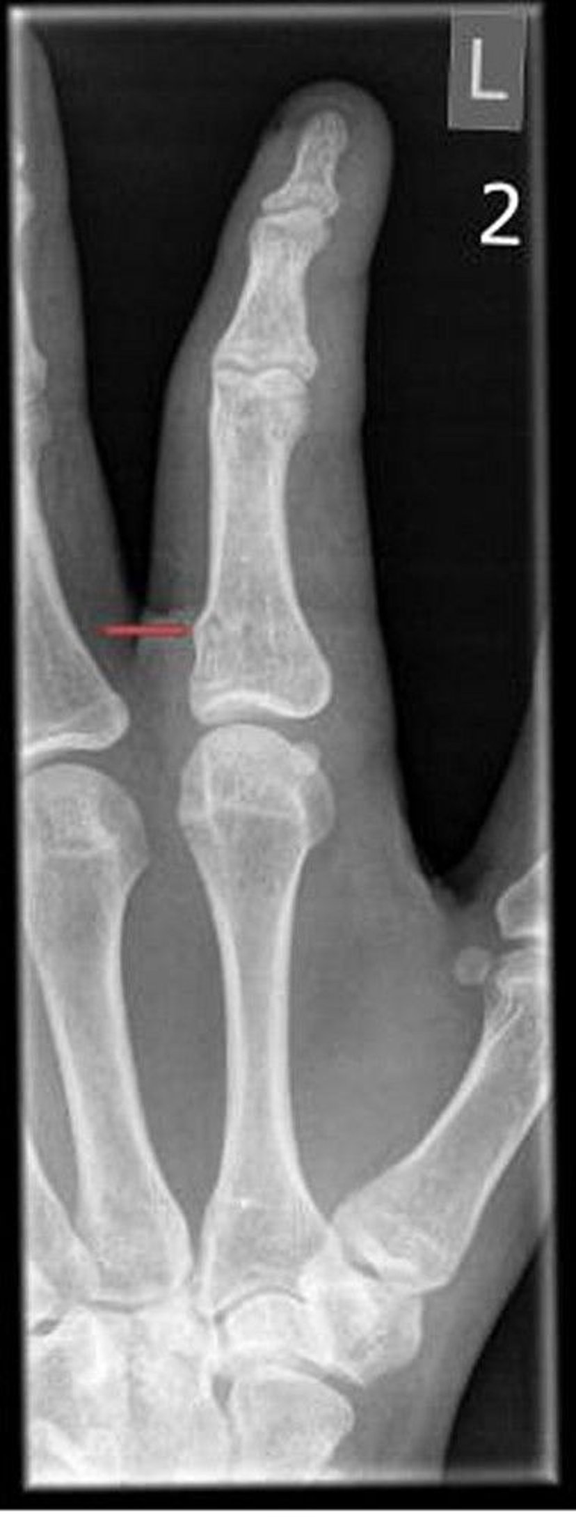
Torus fractures may be visible only as subtle irregularities in bone cortex.
PHOTOSTOCK-ISRAEL/SCIENCE PHOTO LIBRARY
In these topics
Torus fractures may be visible only as subtle irregularities in bone cortex.
PHOTOSTOCK-ISRAEL/SCIENCE PHOTO LIBRARY