Transposition of the Great Arteries
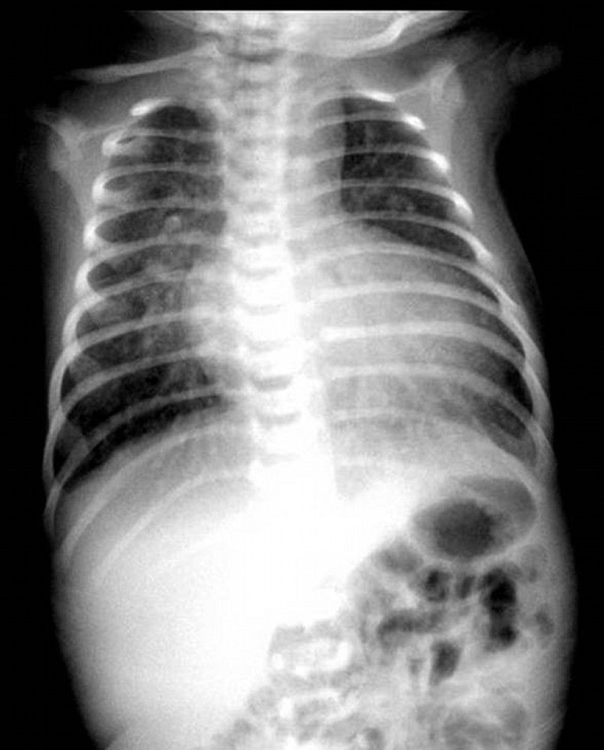
Chest x-ray showing classic egg-on-a-string appearance in a patient with transposition of the great arteries.
Image provided by Jeanne Marie Baffa, MD.
In these topics
Chest x-ray showing classic egg-on-a-string appearance in a patient with transposition of the great arteries.
Image provided by Jeanne Marie Baffa, MD.