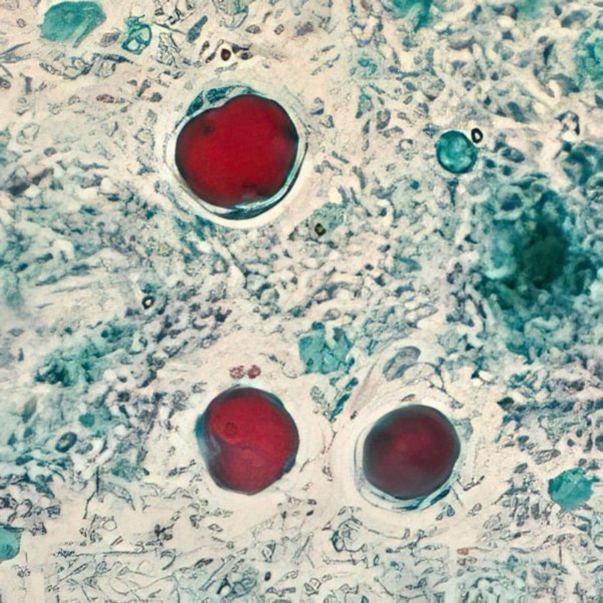
Trichrome Stain (Blastocystis Species)
This image shows trichrome–stained Blastocystis species.
Image from the Centers for Disease Control and Prevention, Global Health, Division of Parasitic Diseases and Malaria.
In these topics
This image shows trichrome–stained Blastocystis species.
Image from the Centers for Disease Control and Prevention, Global Health, Division of Parasitic Diseases and Malaria.